About   Help   FAQ
Gene Expression Data
Assay Details
Assay
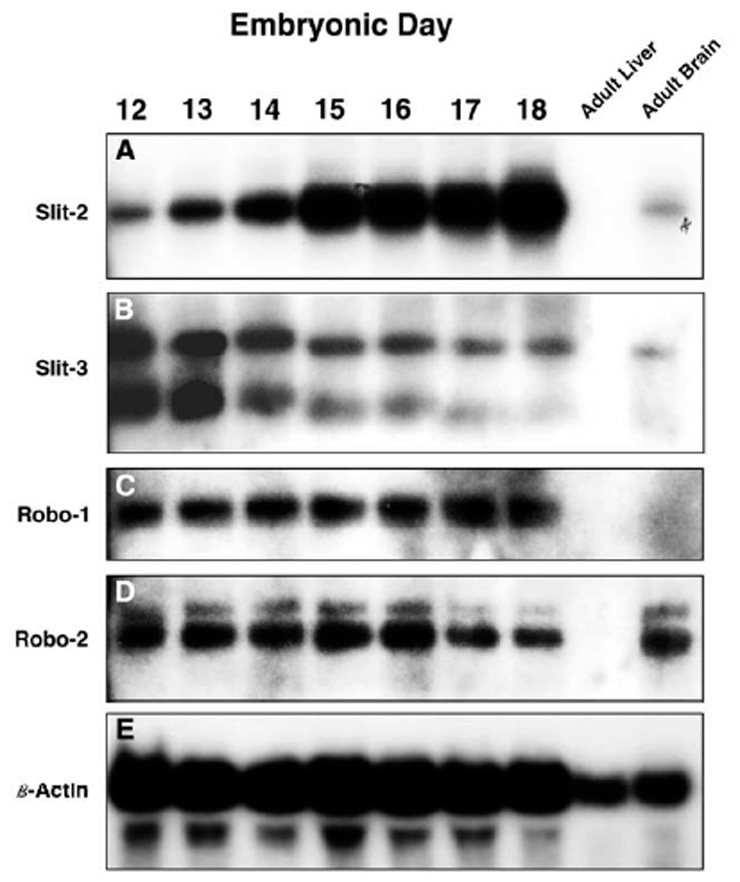
Reference: J:82500 Anselmo MA, et al., Slit and robo: expression patterns in lung development. Gene Expr Patterns. 2003 Mar;3(1):13-9
Assay type: Northern blot
MGI Accession ID: MGI:2663454
Gene symbol: Slit3
Gene name: slit guidance ligand 3
Probe: Slit3 cDNA
Probe preparation: Double stranded labelled with P32 DNA
Visualized with: Autoradiography
Results
Image: 1B ©

 Sample Information Bands Other Sample Information
Lane AgeStructure Size Not Specified Size Not Specified Amount Genetic BackgroundMutant Allele(s)Sex
12 E12.5 (a) TS20: lung Present Present Not Specified; total RNA Swiss Webster Not Specified
13 E13.5 (a) TS21: lung Strong (b) Strong (b) Not Specified; total RNA Swiss Webster Not Specified
14 E14.5 (a) TS22: lung Present (b) Present (b) Not Specified; total RNA Swiss Webster Not Specified
15 E15.5 (a) TS23: lung Present (b) Present (b) Not Specified; total RNA Swiss Webster Not Specified
16 E16.5 (a) TS24: lung Present (b) Present (b) Not Specified; total RNA Swiss Webster Not Specified
17 E17.5 (a) TS25: lung Present (b) Present (b) Not Specified; total RNA Swiss Webster Not Specified
18 E18.5 (a) TS26: lung Present (b) Present (b) Not Specified; total RNA Swiss Webster Not Specified
Adult Liver P adult (a) TS28: liver Absent Absent Not Specified; total RNA Swiss Webster Not Specified
Adult Brain P adult (a) TS28: brain Present Present Not Specified; total RNA Swiss Webster Not Specified
Notes:
(a) Age normalized so that noon of plug day = E0.5.
(b) Expression is highest at E13 and decreases from E13-E18.

Contributing Projects:
Mouse Genome Database (MGD), Gene Expression Database (GXD), Mouse Models of Human Cancer database (MMHCdb) (formerly Mouse Tumor Biology (MTB)), Gene Ontology (GO)
Citing These Resources
Funding Information
Warranty Disclaimer, Privacy Notice, Licensing, & Copyright
Send questions and comments to User Support.
last database update
12/30/2025
MGI 6.24
The Jackson Laboratory