About   Help   FAQ
Gene Expression Data
Assay Details
Assay
Reference: J:47020 Greenberg RA, et al., Expression of mouse telomerase reverse transcriptase during development, differentiation and proliferation. Oncogene. 1998 Apr 2;16(13):1723-30
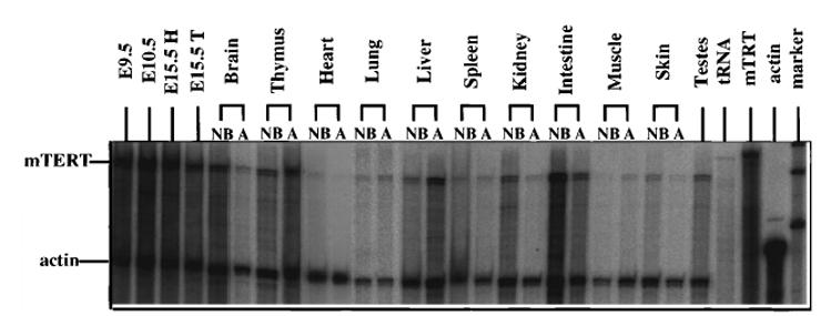
Assay type: RNase protection
MGI Accession ID: MGI:2661690
Gene symbol: Tert
Gene name: telomerase reverse transcriptase
Probe: Tert cDNA2
Probe preparation: Antisense labelled with P32 RNA
Visualized with: Autoradiography
Assay notes: This RNA is found in low abundance. The adjectives referring to strengths of expression indicate the level of message in each tissue relative to the other tissues. They do not indicate overall strengths or weaknesses of expression.
Results
Image: 4 ©

 Sample Information Bands Other Sample Information
Lane AgeStructure Size Not Specified (b) Amount Genetic BackgroundMutant Allele(s)Sex
E9.5 E9.5 (a) TS15: embryo Strong Not Specified; total RNA Not Specified Not Specified
E10.5 E10.5 (a) TS17: embryo Strong Not Specified; total RNA Not Specified Not Specified
E15.5H E15.5 (a) TS23: head Strong Not Specified; total RNA Not Specified Not Specified
E15.5T E15.5 (a) TS23: trunk Strong Not Specified; total RNA Not Specified Not Specified
Brain NB P newborn TS27: brain Present Not Specified; total RNA Not Specified Not Specified
Brain A P adult TS28: brain Weak Not Specified; total RNA Not Specified Not Specified
Thymus NB P newborn TS27: thymus Present Not Specified; total RNA Not Specified Not Specified
Thymus A P adult TS28: thymus Strong Not Specified; total RNA Not Specified Not Specified
Heart NB P newborn TS27: heart Present Not Specified; total RNA Not Specified Not Specified
Heart A P adult TS28: heart Weak Not Specified; total RNA Not Specified Not Specified
Lung NB P newborn TS27: lung Present Not Specified; total RNA Not Specified Not Specified
Lung A P adult TS28: lung Moderate Not Specified; total RNA Not Specified Not Specified
Liver NB P newborn TS27: liver Present Not Specified; total RNA Not Specified Not Specified
Liver A P adult TS28: liver Strong Not Specified; total RNA Not Specified Not Specified
Spleen NB P newborn TS27: spleen Not Specified Not Specified; total RNA Not Specified Not Specified
Spleen A P adult TS28: spleen Not Specified Not Specified; total RNA Not Specified Not Specified
Kidney NB P newborn TS27: metanephros Present Not Specified; total RNA Not Specified Not Specified
Kidney A P adult TS28: metanephros Weak Not Specified; total RNA Not Specified Not Specified
Intestine NB P newborn TS27: intestine Strong Not Specified; total RNA Not Specified Not Specified
Intestine A P adult TS28: intestine Strong Not Specified; total RNA Not Specified Not Specified
Muscle NB P newborn TS27: musculature Present Not Specified; total RNA Not Specified Not Specified
Muscle A P adult TS28: musculature Weak Not Specified; total RNA Not Specified Not Specified
Skin NB P newborn TS27: skin Not Specified Not Specified; total RNA Not Specified Not Specified
Skin A P adult TS28: skin Not Specified Not Specified; total RNA Not Specified Not Specified
Testes P TS28: testis Strong Not Specified; total RNA Not Specified Male
tRNA Control
mTRT Control
actin Control
marker Mol. Wt. Marker Lane
Notes:
(a) Age of embryo at noon of plug day not specified in reference.
(b) Expression is higher in the embryo than the adult. The greatest levels of expression in the adult are in thymus and intestine.

Contributing Projects:
Mouse Genome Database (MGD), Gene Expression Database (GXD), Mouse Models of Human Cancer database (MMHCdb) (formerly Mouse Tumor Biology (MTB)), Gene Ontology (GO)
Citing These Resources
Funding Information
Warranty Disclaimer, Privacy Notice, Licensing, & Copyright
Send questions and comments to User Support.
last database update
12/30/2025
MGI 6.24
The Jackson Laboratory