About   Help   FAQ
Gene Expression Data
Assay Details
Assay
Reference: J:29714 Wan B, et al., Structural characterization and regulatory element analysis of the heart isoform of cytochrome c oxidase VIa. J Biol Chem. 1995 Nov 3;270(44):26433-40
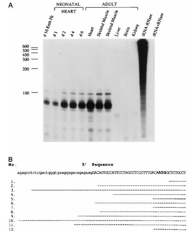
Assay type: RNase protection
MGI Accession ID: MGI:2656015
Gene symbol: Cox6a2
Gene name: cytochrome c oxidase subunit 6A2
Probe: COXVIaH probe1
Probe preparation: Antisense labelled with P32 RNA
Visualized with: Autoradiography
Results
Image: 3 ©

 Sample Information Bands Other Sample Information
Lane AgeStructure 91 bp (b) Amount Genetic BackgroundMutant Allele(s)Sex
d16 Emb Ht E16.0 (a) TS24: heart Not Specified 30 µg; total RNA Not Specified Not Specified
Heart d1 P1 TS27: heart Not Specified 30 µg; total RNA Not Specified Not Specified
Heart d2 P2 TS27: heart Not Specified 30 µg; total RNA Not Specified Not Specified
Heart d4 P4 TS28: heart Not Specified 30 µg; total RNA Not Specified Not Specified
Heart d6 P6 TS28: heart Not Specified 30 µg; total RNA Not Specified Not Specified
Heart P adult TS28: heart Not Specified 30 µg; total RNA Not Specified Not Specified
Skeletal Muscle P adult TS28: skeletal muscle Not Specified 30 µg; total RNA Not Specified Not Specified
Skeletal Muscle P adult TS28: skeletal muscle Not Specified 30 µg; total RNA Not Specified Not Specified
Liver P adult TS28: liver Not Specified 30 µg; total RNA Not Specified Not Specified
Brain P adult TS28: brain Not Specified 30 µg; total RNA Not Specified Not Specified
Kidney P adult TS28: metanephros Not Specified 30 µg; total RNA Not Specified Not Specified
tRNA-RNase Control
tRNA+RNase Control
Notes:
(a) Age of embryo at noon of plug day not specified in reference.
(b) Additional bands ranging in size from 72-154bp were observed in some lanes.

Contributing Projects:
Mouse Genome Database (MGD), Gene Expression Database (GXD), Mouse Models of Human Cancer database (MMHCdb) (formerly Mouse Tumor Biology (MTB)), Gene Ontology (GO)
Citing These Resources
Funding Information
Warranty Disclaimer, Privacy Notice, Licensing, & Copyright
Send questions and comments to User Support.
last database update
01/20/2026
MGI 6.24
The Jackson Laboratory