About   Help   FAQ
Gene Expression Data
Assay Details
Assay
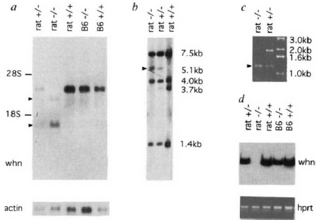
Reference: J:21194 Nehls M, et al., New member of the winged-helix protein family disrupted in mouse and rat nude mutations. Nature. 1994 Nov 3;372(6501):103-7
Assay type: Northern blot
MGI Accession ID: MGI:2655620
Gene symbol: Foxn1
Gene name: forkhead box N1
Probe: whn cDNA
Results
Image: 3a ©

 Sample Information Bands Other Sample Information
Lane AgeStructure Size Not Specified Amount Genetic BackgroundMutant Allele(s)Sex
rat +/- Non-mouse sample: no data stored
rat -/- Non-mouse sample: no data stored
rat +/+ Non-mouse sample: no data stored
B6 -/- P adult TS28: skin Present (a) Not Specified involves: C57BL/6JHan Foxn1nu/Foxn1nuNot Specified
B6 +/+ P adult TS28: skin Present Not Specified C57BL/6JHan Not Specified
Notes:
(a) The mutants have a single base pair deletion that introduces a stop codon into the message, meaning that a trancript is produced in these mice but that the protein is aberrant.

Contributing Projects:
Mouse Genome Database (MGD), Gene Expression Database (GXD), Mouse Models of Human Cancer database (MMHCdb) (formerly Mouse Tumor Biology (MTB)), Gene Ontology (GO)
Citing These Resources
Funding Information
Warranty Disclaimer, Privacy Notice, Licensing, & Copyright
Send questions and comments to User Support.
last database update
01/28/2026
MGI 6.24
The Jackson Laboratory