About   Help   FAQ
Gene Expression Data
Assay Details
Assay
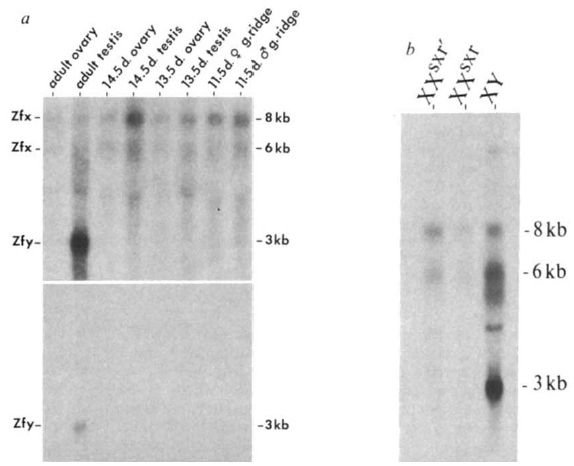
Reference: J:40018 Koopman P, et al., Zfy gene expression patterns are not compatible with a primary role in mouse sex determination. Nature. 1989 Dec 21-28;342(6252):940-2
Assay type: Northern blot
MGI Accession ID: MGI:2655466
Gene symbol: Zfy1
Gene name: zinc finger protein 1, Y-linked
Probe: Zfy1 genomic3
Probe preparation: labelled with P32 DNA
Visualized with: Autoradiography
Assay notes: This probe also recognizes Zfx transcripts; they are present at 6 and 8 kb.
Results
Image: 1b ©

 Sample Information Bands Other Sample Information
Lane AgeStructure 3 kb Amount Genetic BackgroundMutant Allele(s)Sex
XXsxrprime P adult TS28: testis Absent 10 µg; total RNA Not Specified Tp(Y)1CtSxr-b/+Male
XXsxr P adult TS28: testis Absent 10 µg; total RNA involves: CBA * PCT Tp(Y)1CtSxr-a/+Male
XY P adult TS28: testis Present 10 µg; total RNA Parkes Male

Contributing Projects:
Mouse Genome Database (MGD), Gene Expression Database (GXD), Mouse Models of Human Cancer database (MMHCdb) (formerly Mouse Tumor Biology (MTB)), Gene Ontology (GO)
Citing These Resources
Funding Information
Warranty Disclaimer, Privacy Notice, Licensing, & Copyright
Send questions and comments to User Support.
last database update
12/30/2025
MGI 6.24
The Jackson Laboratory