About   Help   FAQ
Gene Expression Data
Assay Details
Assay
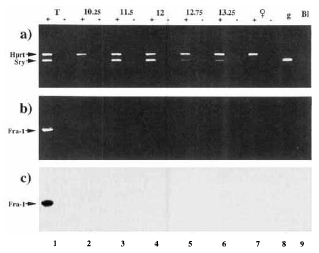
Reference: J:33399 Jeske YW, et al., Analysis of the role of Amh and Fra1 in the Sry regulatory pathway. Mol Reprod Dev. 1996 Jun;44(2):153-8
Assay type: RT-PCR
MGI Accession ID: MGI:2653902
Gene symbol: Fosl1
Gene name: fos-like antigen 1
Probe: Fra1A, Fralex3
Visualized with: Ethidium bromide
Assay notes: These products were generated using nested RT-PCR. The first set of primers were MGI:2653860. In the third part of this figure, the RT-PCR products were visualized by hybridization with a radioactive oligonucleotide probe.
Results
Image: 3B ©

 Sample Information Bands Other Sample Information
Lane AgeStructure 405 bp Amount Genetic BackgroundMutant Allele(s)Sex
T + P adult TS28: testis Present Not Specified; total RNA Not Specified Male
T - Control
10.25 + E10.25 (a) TS16: gonad primordium Absent Not Specified; total RNA Swiss Male
10.25 - Control
11.5 + E11.5 (a) TS19: gonad Absent Not Specified; total RNA Swiss Male
11.5 - Control
12 + E12.0 (a) TS20: testis Absent Not Specified; total RNA Swiss Male
12 - Control
12.75 + E12.75 (a) TS20: testis Absent Not Specified; total RNA Swiss Male
12.75 - Control
13.25 + E13.25 (a) TS21: testis Absent Not Specified; total RNA Swiss Male
13.25 - Control
Female + E11.5 (a) TS19: gonad Absent Not Specified; total RNA Swiss Female
Female - Control
g Control
Bl Control
Notes:
(a) Age of embryo at noon of plug day not specified in reference.

Contributing Projects:
Mouse Genome Database (MGD), Gene Expression Database (GXD), Mouse Models of Human Cancer database (MMHCdb) (formerly Mouse Tumor Biology (MTB)), Gene Ontology (GO)
Citing These Resources
Funding Information
Warranty Disclaimer, Privacy Notice, Licensing, & Copyright
Send questions and comments to User Support.
last database update
01/20/2026
MGI 6.24
The Jackson Laboratory