About   Help   FAQ
Gene Expression Data
Assay Details
Assay
Reference: J:73822 D'Souza UM, et al., Developmental expression of the zinc finger transcription factor DRRF (dopamine receptor regulating factor). Mech Dev. 2002 Jan;110(1-2):197-201
Assay type: RNA in situ
MGI Accession ID: MGI:2183932
Gene symbol: Klf16
Gene name: Kruppel-like transcription factor 16
Probe: DRRF probe
Probe preparation: Antisense labelled with S35 RNA
Visualized with: Autoradiography
Results
Specimen 1E8: embryonic day 8.0 (more )
Structure Level Pattern Image Note
TS12: neural ectoderm Strong 1E8
TS12: embryo endoderm Moderate 1E8
TS12: embryo mesenchyme Moderate 1E8

Specimen 1E10: embryonic day 10.0 (more )
Structure Level Pattern Image Note
TS16: embryo mesenchyme Moderate 1E10
TS16: embryo Moderate Regionally restricted 1E10 Expression is in the endoderm.
TS16: nervous system Strong 1E10

Specimen 1E12: embryonic day 12.0 (more )
Structure Level Pattern Image Note
TS20: nasal septum mesenchyme Present Regionally restricted 1E12 Expression is in the cartilage primordium.
TS20: cerebral cortex Present Regionally restricted 1E12 Expression is in the roof.
TS20: central nervous system Present 1E12
TS20: corpus striatum Present 1E12
TS20: foregut Present 1E12
TS20: gut Present 1E12
TS20: hindgut Present 1E12
TS20: metanephros Present 1E12
TS20: median lingual swelling Present Regionally restricted 1E12 Expression is in the intrinsic muscles.
TS20: tail mesenchyme Present Regionally restricted 1E12 Expression is in the intrinsic muscles.
TS20: heart Present 1E12
TS20: liver Present 1E12

Specimen 1E14: embryonic day 14.0 (more )
Structure Level Pattern Image Note
TS22: olfactory lobe Strong 1E14
TS22: liver Moderate 1E14
TS22: nasal septum mesenchyme Moderate Regionally restricted 1E14 Expression is in the cartilage primordium.
TS22: cerebral cortex Moderate Regionally restricted 1E14 Expression is in the roof.
TS22: lung Weak 1E14

Specimen 1E16: embryonic day 16.0 (more )
Structure Level Pattern Image Note
TS24: bladder Present 1E16
TS24: cerebral cortex Present 1E16
TS24: diencephalon Present 1E16
TS24: duodenum Present 1E16
TS24: heart Present 1E16
TS24: liver Present 1E16
TS24: lung Present 1E16
TS24: metanephros Present 1E16
TS24: olfactory lobe Present 1E16
TS24: thymus Present 1E16
TS24: tongue intrinsic muscle Present 1E16
TS24: nasal septum mesenchyme Present Regionally restricted 1E16 Expression is in cartilage primordium.
TS24: vibrissa Present Regionally restricted 1E16 Expression is in the primordial follicles in the upper lip.

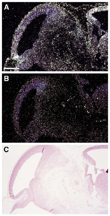
Specimen 2A: embryonic day 12.0 (more )
Structure Level Pattern Image Note
TS20: cerebral cortex Present Regionally restricted 2A Expression is in the roof.
TS20: corpus striatum Present Regionally restricted 2A Expression is medial.
TS20: cerebellum primordium Present 2A
TS20: midbrain roof plate Present 2A
TS20: midbrain ventricular layer Present 2A

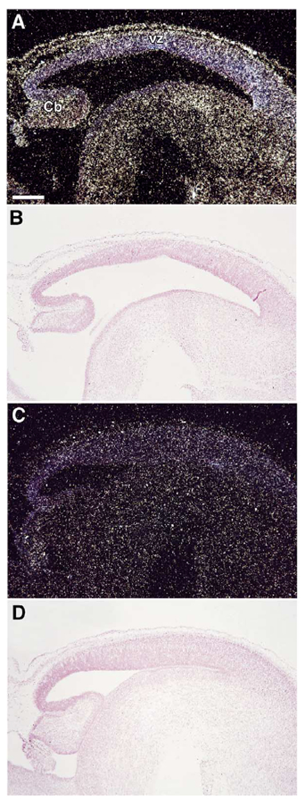
Specimen 3A: embryonic day 14.0 (more )
Structure Level Pattern Image Note
TS22: olfactory lobe Present 3A
TS22: thalamus Present 3A
TS22: cerebral cortex Present Regionally restricted 3A Expression is in the roof.

Specimen 4A: embryonic day 14.0 (more )
Structure Level Pattern Image Note
TS22: cerebellum Present 4A/B
TS22: midbrain ventricular layer Present 4A/B

Specimen 5A: embryonic day 16.0 (more )
Structure Level Pattern Image Note
TS24: cerebral cortex Strong 5A
TS24: diencephalon Strong 5A
TS24: olfactory lobe Strong 5A


Contributing Projects:
Mouse Genome Database (MGD), Gene Expression Database (GXD), Mouse Models of Human Cancer database (MMHCdb) (formerly Mouse Tumor Biology (MTB)), Gene Ontology (GO)
Citing These Resources
Funding Information
Warranty Disclaimer, Privacy Notice, Licensing, & Copyright
Send questions and comments to User Support.
last database update
03/24/2026
MGI 6.24
The Jackson Laboratory