About   Help   FAQ
Gene Expression Data
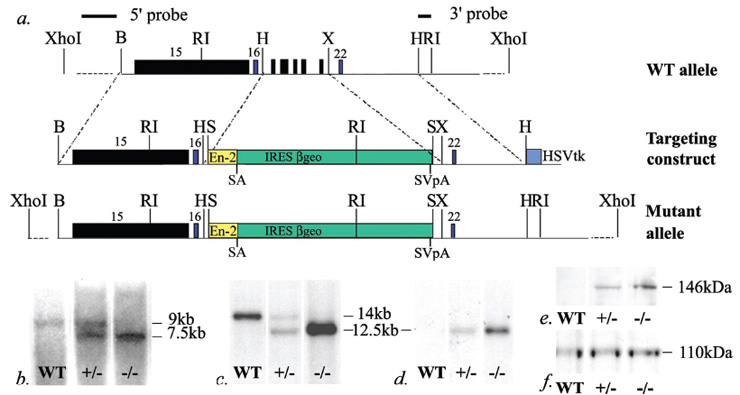
Assay Details
Assay
Reference: J:72238 Boulter C, et al., Cardiovascular, skeletal, and renal defects in mice with a targeted disruption of the Pkd1 gene. Proc Natl Acad Sci U S A. 2001 Oct 9;98(21):12174-9
Assay type: Western blot
MGI Accession ID: MGI:2153837
Gene symbol: Pkd2
Gene name: polycystin 2, transient receptor potential cation channel
Antibody: PKD2-CFP
Results
Image: 1f ©

 Sample Information Bands Other Sample Information
Lane AgeStructure 110 kDa Genetic BackgroundMutant Allele(s)Sex
WT E12.5 (a) TS20: embryo Present Not Specified Not Specified
+/_ E12.5 (a) TS20: embryo Present involves: 129S4/SvJaeSor Pkd1tm1Rsa/Pkd1+Not Specified
-/- E12.5 (a) TS20: embryo Present involves: 129S4/SvJaeSor Pkd1tm1Rsa/Pkd1tm1RsaNot Specified
Notes:
(a) Age of embryo at noon of plug day not specified in reference.

Contributing Projects:
Mouse Genome Database (MGD), Gene Expression Database (GXD), Mouse Models of Human Cancer database (MMHCdb) (formerly Mouse Tumor Biology (MTB)), Gene Ontology (GO)
Citing These Resources
Funding Information
Warranty Disclaimer, Privacy Notice, Licensing, & Copyright
Send questions and comments to User Support.
last database update
12/30/2025
MGI 6.24
The Jackson Laboratory