About   Help   FAQ
Gene Expression Data
Assay Details
Assay
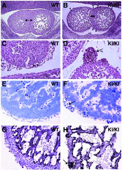
Reference: J:64090 Miquerol L, et al., Embryonic development is disrupted by modest increases in vascular endothelial growth factor gene expression. Development. 2000 Sep;127(18):3941-6
Assay type: Immunohistochemistry
MGI Accession ID: MGI:1889792
Gene symbol: Pecam1
Gene name: platelet/endothelial cell adhesion molecule 1
Antibody: anti-CD31
Detection system: Secondary antibody
Results
Specimen G WT: embryonic day 12.5 (more )
Structure Level Pattern Image Note
TS20: heart Present Regionally restricted 3G Expression is in endothelial cells.

Specimen H KI/KI: embryonic day 12.5; Vegfatm1.1Nagy/Vegfatm1.1Nagy (more )
Structure Level Pattern Image Note
TS20: heart Present Regionally restricted 3H Expression is in endothelial cells.


Contributing Projects:
Mouse Genome Database (MGD), Gene Expression Database (GXD), Mouse Models of Human Cancer database (MMHCdb) (formerly Mouse Tumor Biology (MTB)), Gene Ontology (GO)
Citing These Resources
Funding Information
Warranty Disclaimer, Privacy Notice, Licensing, & Copyright
Send questions and comments to User Support.
last database update
01/28/2026
MGI 6.24
The Jackson Laboratory