About   Help   FAQ
Gene Expression Data
Assay Details
Assay
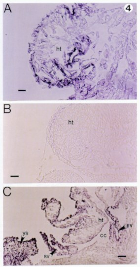
Reference: J:19551 Heikinheimo M, et al., Localization of transcription factor GATA-4 to regions of the mouse embryo involved in cardiac development. Dev Biol. 1994 Aug;164(2):361-73
Assay type: Immunohistochemistry
MGI Accession ID: MGI:1341336
Gene symbol: Gata4
Gene name: GATA binding protein 4
Antibody: affinity-purified anti-GATA-4 IgG
Detection system: Secondary antibody coupled to alkaline phosphatase
Results
Specimen 4A: embryonic day 8.0-8.5 (more )
Note: sagittal section
Structure Level Pattern Image Note
TS12: sinus venosus Present 4A
TS12: yolk sac endoderm Present 4A
TS12: intraembryonic coelom Present Regionally restricted 4A Expression is detected in epithelial cells of the intraembryonic coelomic cavities.
TS12: bulbus cordis caudal half cardiac muscle Present 4A
TS12: bulbus cordis rostral half cardiac muscle Absent 4A

Specimen 4C: embryonic day 8.0-8.5 (more )
Note: transverse section
Structure Level Pattern Image Note
TS12: sinus venosus Present 4C
TS12: yolk sac endoderm Present 4C
TS12: intraembryonic coelom Present Regionally restricted 4C Expression is detected in epithelial cells of the intraembryonic coelomic cavities.
TS12: bulbus cordis caudal half cardiac muscle Present 4C
TS12: bulbus cordis rostral half cardiac muscle Absent 4C


Contributing Projects:
Mouse Genome Database (MGD), Gene Expression Database (GXD), Mouse Models of Human Cancer database (MMHCdb) (formerly Mouse Tumor Biology (MTB)), Gene Ontology (GO)
Citing These Resources
Funding Information
Warranty Disclaimer, Privacy Notice, Licensing, & Copyright
Send questions and comments to User Support.
last database update
01/20/2026
MGI 6.24
The Jackson Laboratory