About   Help   FAQ
Gene Expression Data
Assay Details
Assay
Reference: J:17693 Albano RM, et al., Expression of inhibin subunits and follistatin during postimplantation mouse development: decidual expression of activin and expression of follistatin in primitive streak, somites and hindbrain. Development. 1994 Apr;120(4):803-13
Assay type: RNA in situ
MGI Accession ID: MGI:1337847
Gene symbol: Fst
Gene name: follistatin
Probe: follistatin probe1
Probe preparation: Antisense labelled with S35 RNA
Visualized with: Autoradiography
Results
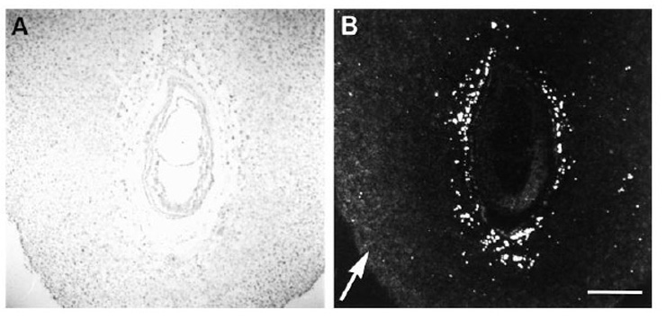
Specimen 6A,B: embryonic day 5.5 (more )
Structure Level Pattern Image Note
TS28: decidua Present Regionally restricted 6A/B Expression is low in areas immediately surrounding the embryo and stronger in cells at the periphery of the deciduum.
TS7: embryo Absent 6A/B
TS7: extraembryonic component Absent 6A/B

Specimen 6C,D: embryonic day 6.5 (more )
Structure Level Pattern Image Note
TS28: decidua Present Regionally restricted 6C/D Expression is low in areas immediately surrounding the embryo and stronger in cells at the periphery of the deciduum.

Specimen 6E,F: embryonic day 6.5 (more )
Structure Level Pattern Image Note
TS28: decidua Present Regionally restricted 6E/F Expression is low in areas immediately surrounding the embryo and stronger in cells at the periphery of the deciduum.

Specimen 7A,B: embryonic day 7.5 (more )
Structure Level Pattern Image Note
TS28: decidua Weak Regionally restricted 7A/B Expression is in the extreme periphery of the deciduum.
TS11: parietal endoderm Present 7A/B
TS11: primitive streak Present 7A/B


Contributing Projects:
Mouse Genome Database (MGD), Gene Expression Database (GXD), Mouse Models of Human Cancer database (MMHCdb) (formerly Mouse Tumor Biology (MTB)), Gene Ontology (GO)
Citing These Resources
Funding Information
Warranty Disclaimer, Privacy Notice, Licensing, & Copyright
Send questions and comments to User Support.
last database update
12/30/2025
MGI 6.24
The Jackson Laboratory