About   Help   FAQ
Gene Expression Data
Assay Details
Assay
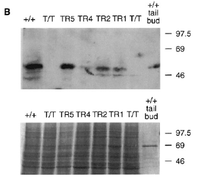
Reference: J:45352 Wilson V, et al., Expression of T protein in the primitive streak is necessary and sufficient for posterior mesoderm movement and somite differentiation. Dev Biol. 1997 Dec 1;192(1):45-58
Assay type: Western blot
MGI Accession ID: MGI:1335833
Gene symbol: T
Gene name: brachyury, T-box transcription factor T
Antibody: anti-TN1-123
Results
Image: 1B ©

 Sample Information Bands Other Sample Information
Lane AgeStructure 48 kDa Genetic BackgroundMutant Allele(s)Sex
+/+ In vitro data: no data stored
T/T In vitro data: no data stored
TR5 In vitro data: no data stored
TR4 In vitro data: no data stored
TR2 In vitro data: no data stored
TR1 In vitro data: no data stored
T/T In vitro data: no data stored
+/+ tail bud E12.5 TS20: tail Present C57BL/6 Not Specified

Contributing Projects:
Mouse Genome Database (MGD), Gene Expression Database (GXD), Mouse Models of Human Cancer database (MMHCdb) (formerly Mouse Tumor Biology (MTB)), Gene Ontology (GO)
Citing These Resources
Funding Information
Warranty Disclaimer, Privacy Notice, Licensing, & Copyright
Send questions and comments to User Support.
last database update
12/30/2025
MGI 6.24
The Jackson Laboratory