About   Help   FAQ
Zfp105Gt(TEA059)Byg
Gene trapped Allele Detail
Summary
Symbol: Zfp105Gt(TEA059)Byg
Name: zinc finger protein 105; gene trap TEA059, BayGenomics
MGI ID: MGI:4128645
Synonyms: Zfp105:LacZ, Zfp105LacZ
Gene: Zfp105  Location: Chr9:122752137-122760093 bp, + strand  Genetic Position: Chr9, 73.23 cM
Alliance: Zfp105Gt(TEA059)Byg page
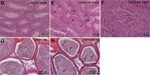
Presence of undifferentiated spermatogenic cells in the lumen of Zfp105Gt(TEA059)Byg/Zfp105Gt(TEA059)Byg testes and epididymides

Show the 1 phenotype image(s) involving this allele.

Mutation
origin
Mutant Cell Line:  TEA059
Germline Transmission:  Earliest citation of germline transmission: J:160251
Parent Cell Line:  Other (see notes) (ES Cell)
Strain of Origin:  129P2/OlaHsd
Mutation
description
Allele Type:    Gene trapped (Null/knockout, Reporter)
Mutation:    Insertion of gene trap vector     Vector: pGT1Lxf     Vector Type: gene trap
 
Mutation detailsThe gene-trap vector contains a splice-acceptor site upstream of a LacZ/Neomycin (Neo) (a fusion of LacZ and Neo). The insertion of the vector into intron 3 produces an exon 1-3-LacZ/Neo fusion protein. Northern blot analysis using radiolabeled probes against exon 4 showed the complete loss of RNA transcripts in homozygous testes. LacZ staining showed that robust expression in the testis with dominant expression in the spermatocytes (especially pachytene spermatocytes). Weak LacZ staining was also observed in a few follicles of ovaries. (J:160251)
Sequence Tags: 
Sequence tag details (1 tag)
Genome Context: 
Genome Browser view of this mutation
Generation of the Zfp105Gt(TEA059)Byg allele
Phenotypes
Loading...
View phenotypes and curated references for all genotypes (concatenated display).
Expression
In Structures Affected by this Mutation: 1 anatomical structure(s)
Find Mice (IMSR)
Mouse strains and cell lines available from the International Mouse Strain Resource (IMSR)
Carrying this Mutation:  Mouse Strains: 0 strains available      Cell Lines: 0 lines available
Carrying any Zfp105 Mutation:  21 strains or lines available
Notes
All BayGenomics gene trap mutations were generated in either CGR8 or E14TG2a (129P2/OlaHsd) parental ES cell lines, with the majority in subline E14TG2a.4. The specific ES cell line in which each mutation was made is not specified.
References
Original:  J:141210 Mouse Genome Informatics (MGI) and National Center for Biotechnology Information (NCBI), Mouse Gene Trap Data Load from dbGSS. Database Download. 2008;
All:  3 reference(s)

Contributing Projects:
Mouse Genome Database (MGD), Gene Expression Database (GXD), Mouse Models of Human Cancer database (MMHCdb) (formerly Mouse Tumor Biology (MTB)), Gene Ontology (GO)
Citing These Resources
Funding Information
Warranty Disclaimer, Privacy Notice, Licensing, & Copyright
Send questions and comments to User Support.
last database update
12/30/2025
MGI 6.24
The Jackson Laboratory