Back

Color Atlas of Neoplastic and Non-neoplastic Lesions in Aging Mice
C.H. Frith and J.M. Ward

IMAGE INDEX (Click any image to enlarge.)

Previous

 

1

 

2

 

3

 

4

 

5

 

6

 

7

 

8

 

9

 

10

 

11

 

12

 

13

 

14

 

15

 

Next


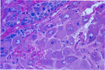
Figure 121 Figure 122 Figure 123 Figure 124 Figure 125 Figure 126
121. Adrenocortical Adenoma (Type B Solid Cell) 122. Electron Micrograph (TEM)
-Adrenal Cortical Epithelial Cells
123. Electron Micrograph (TEM)
-Adrenal Medullary Epithelial Cells
124. Electron Micrograph
-Ceroid Pigment
-Adrenal
125. Electron Micrograph
-Ceroid Pigment
-Adrenal
126. Adrenocortical Carcinoma (Type A Cell)

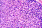
Figure 127 Figure 128 Figure 129 Figure 130 Figure 131 Figure 132
127. Adrenocortical Carcinoma (Type B Cell) 128. Pulmonary Metastasis
-Adrenocortical Carcinoma (Type B Cell)
129. Diffuse Adrenal Medullary Hyperplasia 130. Pheochromocytoma 131. Pulmonary Metastasis
-Pheochromocytoma
132. Ganglioneuroma
-Adrenal

Figure 133 Figure 134 Figure 135 Figure 136 Figure 137 Figure 138
133. Ganglioneuroma
-Adrenal
134. Electron Micrograph
-Adrenocortical Type A Carcinoma (Lipid Droplets)
135. Electron Micrograph
-Adrenocortical Type A Carcinoma (Desmosome)
136. Pituitary Cyst 137. Cystoid Degeneration
-Pituitary
138. Cystoid Degeneration
-Pituitary

Figure 139 Figure 140 Figure 141 Figure 142 Figure 143 Figure 144
139. Focal Hyperplasia
-Pituitary
140. Focal Hyperplasia
-Pituitary
141. Pituitary Adenoma 142. Pituitary Adenoma
-Prolactin
143. Pituitary Carcinoma Invading Brain 144. Electron Micrograph
-Pituitary Cystoid Degeneration

Back