Back

Color Atlas of Neoplastic and Non-neoplastic Lesions in Aging Mice
C.H. Frith and J.M. Ward

IMAGE INDEX (Click any image to enlarge.)

Previous

 

1

 

2

 

3

 

4

 

5

 

6

 

7

 

8

 

9

 

10

 

11

 

12

 

13

 

14

 

15

 

Next


Figure 97 Figure 98 Figure 99 Figure 100 Figure 101 Figure 102
97. Gall Bladder Carcinoma 98. Eosinophilic Crystals
-Pulmonary Alveolar Macrophages
99. Chronic Passive Congestion (Prussian Blue Stain)
-Lung
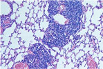
100. Perivascular and Peribronchial Lymphoid Aggregates
-Lung
101. Pulmonary Atelectasis Adjacent to Normal Lung 102. Pulmonary Alveolar Macrophage Accumulations

Figure 103 Figure 104 Figure 105 Figure 106 Figure 107 Figure 108
103. Mycoplasma pulmonis Infection
-Lungs
104. Chronic Sendai Virus Infection
-Lungs
105. Pulmonary Alveolar Cell Adenoma 106. Pulmonary Alveolar Cell Adenoma 107. Adenoma
-Pulmonary Surfactant Apoprotein
-Lung
108. Papillary Adenocarcinoma
-Lung

Figure 109 Figure 110 Figure 111 Figure 112 Figure 113 Figure 114
109. Lymph Node Metastasis of Pulmonary Adenocarcinoma
-Lung
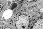
110. Electron Micrograph
-Pulmonary Alveolar Type II Adenoma
111. Electron Micrograph
-Pulmonary Alveolar Type II Adenoma
112. Electron Micrograph
-Papillary Adenocarcinoma
-Lung
113. Electron Micrograph
-Papillary Adenocarcinoma
-Lung
114. X-Zone
-Adrenal Cortex

Figure 115 Figure 116 Figure 117 Figure 118 Figure 119 Figure 120
115. Adrenocortical Vacuolization (X-Zone) 116. Accessory Adrenocortical Nodule 117. Subcapsular Adrenocortical Spindle Cell Hyperplasia 118. Ceroid Pigment
-Macrophages
-Zona reticularis
-Adrenal (H & E)
119. Ceroid Pigment
-Adrenal (PAS)
120. Adrenocortical Adenoma (Type A Spindle Cell)

Back