Back

Color Atlas of Neoplastic and Non-neoplastic Lesions in Aging Mice
C.H. Frith and J.M. Ward

IMAGE INDEX (Click any image to enlarge.)

Previous

 

1

 

2

 

3

 

4

 

5

 

6

 

7

 

8

 

9

 

10

 

11

 

12

 

13

 

14

 

15

 

Next


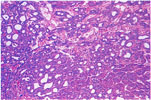
Figure 73 Figure 74 Figure 75 Figure 76 Figure 77 Figure 78
73. Cholangitis 74. Hepatocellular Eosinophilic Cell Focus 75. Hepatocellular Basophilic Cell Focus 76. Hepatocellular Vacuolated Cell Focus 77. Hepatocellular Clear Cell Focus 78. Basophilic Hepatocellular Adenoma (Right Side)

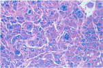
Figure 79 Figure 80 Figure 81 Figure 82 Figure 83 Figure 84
79. Eosinophilic Hepatocellular Adenoma (Right Side) 80. Vacuolated Hepatocellular Adenoma 81. Hepatocellular Adenoma Immunoreactive for Alpha Fetoprotein 82. Hepatocellular Carcinoma within Adenoma 83. Trabecular Hepatocellular Carcinoma 84. Well-Differentiated Hepatocellular Carcinoma

Figure 85 Figure 86 Figure 87 Figure 88 Figure 89 Figure 90
85. Moderately Well-Differentiated Hepatocellular Carcinoma 86. Poorly Differentiated Hepatocellular Carcinoma 87. Pulmonary Metastasis
-Hepatocellular Carcinoma
88. Hepatoblastoma 89. Hepatoblastoma
-Keratin Stain
90. Well Differentiated Cholangiocarcinoma

Figure 91 Figure 92 Figure 93 Figure 94 Figure 95 Figure 96
91. Poorly Differentiated Cholangiocarcinoma 92. Hepatocellular Adenocarcinoma 93. Cholangiohepatocellular (Mixed) Carcinoma 94. Gall Stones 95. Eosinophilic Crystals
-Gall Bladder
96. Gall Bladder Papilloma

Back