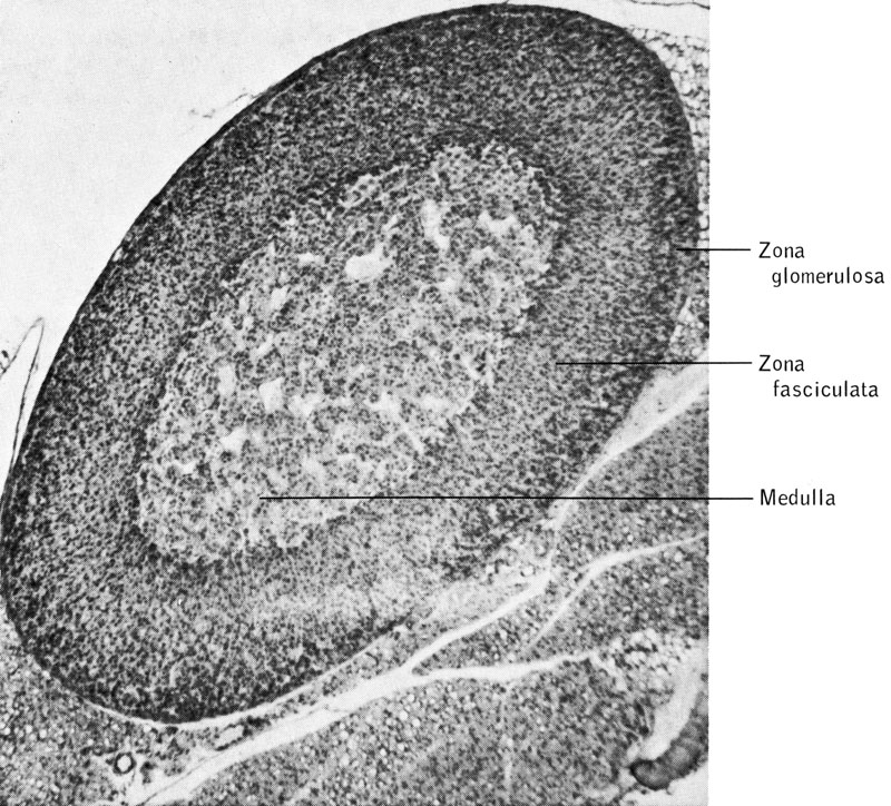
Mouse adrenal gland

Figure 13-10. Adrenal gland section showing cortex and medulla (x 75).