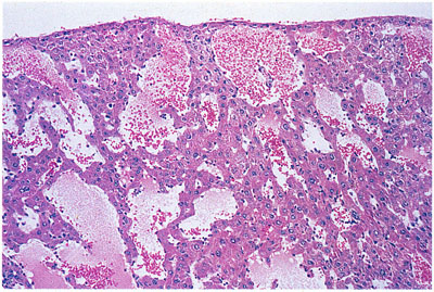
Hepatic Angiectasis

Figure 14. Hepatic Angiectasis