About   Help   FAQ
Gene Expression Data
Assay Details
Assay
Reference: J:228563 Koscielny G, et al., The International Mouse Phenotyping Consortium Web Portal, a unified point of access for knockout mice and related phenotyping data. Nucleic Acids Res. 2014 Jan;42(Database issue):D802-9
Assay type: In situ reporter (knock in)
MGI Accession ID: MGI:6692239
Gene symbol: Inpp5e
Gene name: inositol polyphosphate-5-phosphatase E
Reporter: lacZ
Direct Detection
Results
Specimen UC Davis_1860617: postnatal adult; Inpp5etm1.1(KOMP)Vlcg/Inpp5e+ (more )
Structure Level Pattern Image Note
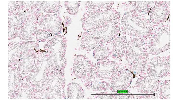
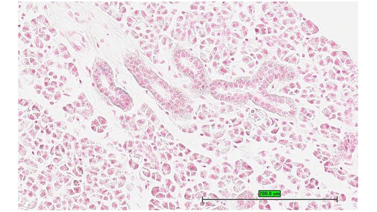
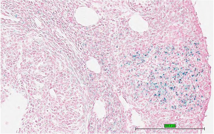
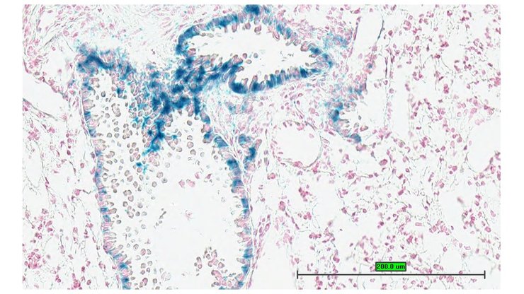
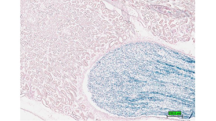
TS28: submandibular gland Present UC Davis_1860617

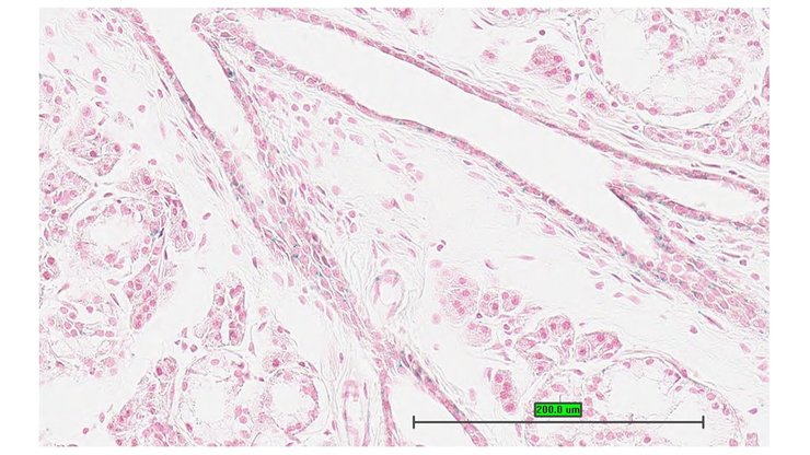
Specimen UC Davis_1860618: postnatal adult; Inpp5etm1.1(KOMP)Vlcg/Inpp5e+ (more )
Structure Level Pattern Image Note
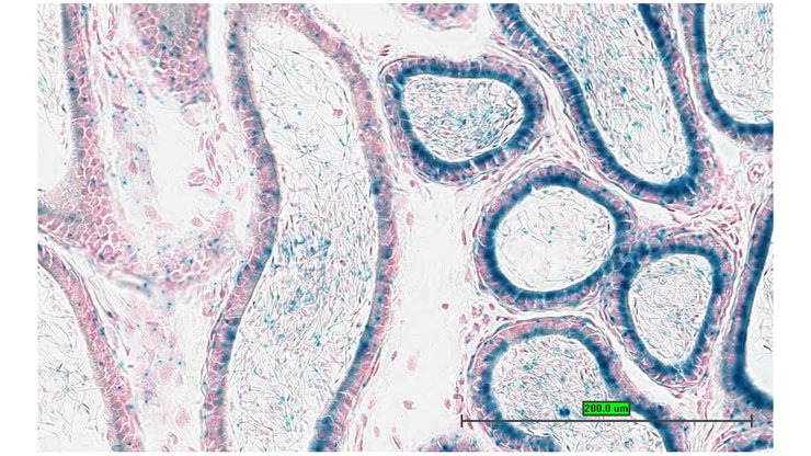
TS28: sublingual gland Present UC Davis_1860618

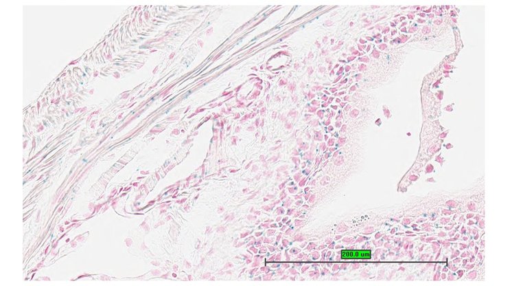
Specimen UC Davis_1860619: postnatal adult; Inpp5etm1.1(KOMP)Vlcg/Inpp5e+ (more )
Structure Level Pattern Image Note
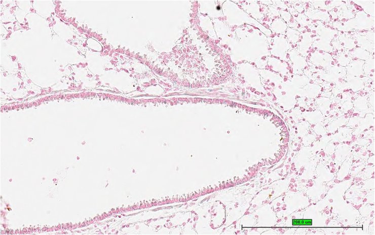
TS28: trachea Present UC Davis_1860619

Specimen UC Davis_1860620: postnatal adult; Inpp5etm1.1(KOMP)Vlcg/Inpp5e+ (more )
Structure Level Pattern Image Note
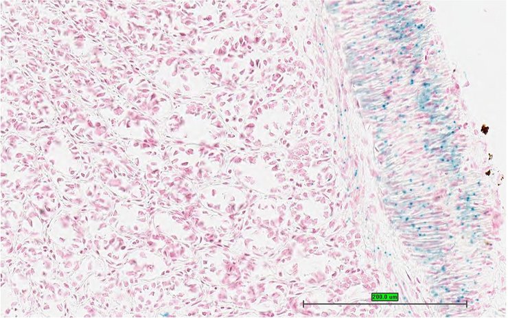
TS28: thyroid gland Present UC Davis_1860620

Specimen UC Davis_1860621: postnatal adult; Inpp5etm1.1(KOMP)Vlcg/Inpp5e+ (more )
Structure Level Pattern Image Note
TS28: aorta Present UC Davis_1860621

Specimen UC Davis_1860622: postnatal adult; Inpp5etm1.1(KOMP)Vlcg/Inpp5e+ (more )
Structure Level Pattern Image Note
TS28: lung Present UC Davis_1860622

Specimen UC Davis_1860623: postnatal adult; Inpp5etm1.1(KOMP)Vlcg/Inpp5e+ (more )
Structure Level Pattern Image Note
TS28: thymus Present UC Davis_1860623

Specimen UC Davis_1860624: postnatal adult; Inpp5etm1.1(KOMP)Vlcg/Inpp5e+ (more )
Structure Level Pattern Image Note
TS28: thymus Present UC Davis_1860624

Specimen UC Davis_1860628: postnatal adult; Inpp5etm1.1(KOMP)Vlcg/Inpp5e+ (more )
Structure Level Pattern Image Note
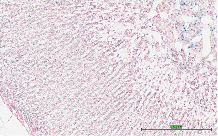
TS28: stomach Present UC Davis_1860628

Specimen UC Davis_1860629: postnatal adult; Inpp5etm1.1(KOMP)Vlcg/Inpp5e+ (more )
Structure Level Pattern Image Note
TS28: stomach Present UC Davis_1860629

Specimen UC Davis_1860630: postnatal adult; Inpp5etm1.1(KOMP)Vlcg/Inpp5e+ (more )
Structure Level Pattern Image Note
TS28: stomach Present UC Davis_1860630

Specimen UC Davis_1860631: postnatal adult; Inpp5etm1.1(KOMP)Vlcg/Inpp5e+ (more )
Structure Level Pattern Image Note
TS28: colon Present UC Davis_1860631

Specimen UC Davis_1860632: postnatal adult; Inpp5etm1.1(KOMP)Vlcg/Inpp5e+ (more )
Structure Level Pattern Image Note
TS28: cecum Present UC Davis_1860632

Specimen UC Davis_1860633: postnatal adult; Inpp5etm1.1(KOMP)Vlcg/Inpp5e+ (more )
Structure Level Pattern Image Note
TS28: cecum Present UC Davis_1860633

Specimen UC Davis_1860634: postnatal adult; Inpp5etm1.1(KOMP)Vlcg/Inpp5e+ (more )
Structure Level Pattern Image Note
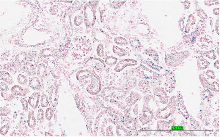
TS28: metanephros Present UC Davis_1860634 kidney

Specimen UC Davis_1860635: postnatal adult; Inpp5etm1.1(KOMP)Vlcg/Inpp5e+ (more )
Structure Level Pattern Image Note
TS28: metanephros Present UC Davis_1860635 kidney

Specimen UC Davis_1860636: postnatal adult; Inpp5etm1.1(KOMP)Vlcg/Inpp5e+ (more )
Structure Level Pattern Image Note
TS28: metanephros Present UC Davis_1860636 kidney

Specimen UC Davis_1860637: postnatal adult; Inpp5etm1.1(KOMP)Vlcg/Inpp5e+ (more )
Structure Level Pattern Image Note
TS28: metanephros Present UC Davis_1860637 kidney

Specimen UC Davis_1860638: postnatal adult; Inpp5etm1.1(KOMP)Vlcg/Inpp5e+ (more )
Structure Level Pattern Image Note
TS28: tongue Present UC Davis_1860638

Specimen UC Davis_1860639: postnatal adult; Inpp5etm1.1(KOMP)Vlcg/Inpp5e+ (more )
Structure Level Pattern Image Note
TS28: tongue Present UC Davis_1860639

Specimen UC Davis_1860640: postnatal adult; Inpp5etm1.1(KOMP)Vlcg/Inpp5e+ (more )
Structure Level Pattern Image Note
TS28: tongue Present UC Davis_1860640

Specimen UC Davis_1860641: postnatal adult; Inpp5etm1.1(KOMP)Vlcg/Inpp5e+ (more )
Structure Level Pattern Image Note
TS28: adrenal gland Present UC Davis_1860641

Specimen UC Davis_1860642: postnatal adult; Inpp5etm1.1(KOMP)Vlcg/Inpp5e+ (more )
Structure Level Pattern Image Note
TS28: adrenal gland Present UC Davis_1860642

Specimen UC Davis_1860643: postnatal adult; Inpp5etm1.1(KOMP)Vlcg/Inpp5e+ (more )
Structure Level Pattern Image Note
TS28: pituitary gland Present UC Davis_1860643

Specimen UC Davis_1860644: postnatal adult; Inpp5etm1.1(KOMP)Vlcg/Inpp5e+ (more )
Structure Level Pattern Image Note
TS28: spinal cord Present UC Davis_1860644

Specimen UC Davis_1860645: postnatal adult; Inpp5etm1.1(KOMP)Vlcg/Inpp5e+ (more )
Structure Level Pattern Image Note
TS28: spinal cord Present UC Davis_1860645

Specimen UC Davis_1860646: postnatal adult; Inpp5etm1.1(KOMP)Vlcg/Inpp5e+ (more )
Structure Level Pattern Image Note
TS28: eye Present UC Davis_1860646

Specimen UC Davis_1860647: postnatal adult; Inpp5etm1.1(KOMP)Vlcg/Inpp5e+ (more )
Structure Level Pattern Image Note
TS28: eye Present UC Davis_1860647

Specimen UC Davis_1860648: postnatal adult; Inpp5etm1.1(KOMP)Vlcg/Inpp5e+ (more )
Structure Level Pattern Image Note
TS28: eye Present UC Davis_1860648

Specimen UC Davis_1860649: postnatal adult; Inpp5etm1.1(KOMP)Vlcg/Inpp5e+ (more )
Structure Level Pattern Image Note
TS28: Harderian gland Present UC Davis_1860649

Specimen UC Davis_1860650: postnatal adult; Inpp5etm1.1(KOMP)Vlcg/Inpp5e+ (more )
Structure Level Pattern Image Note
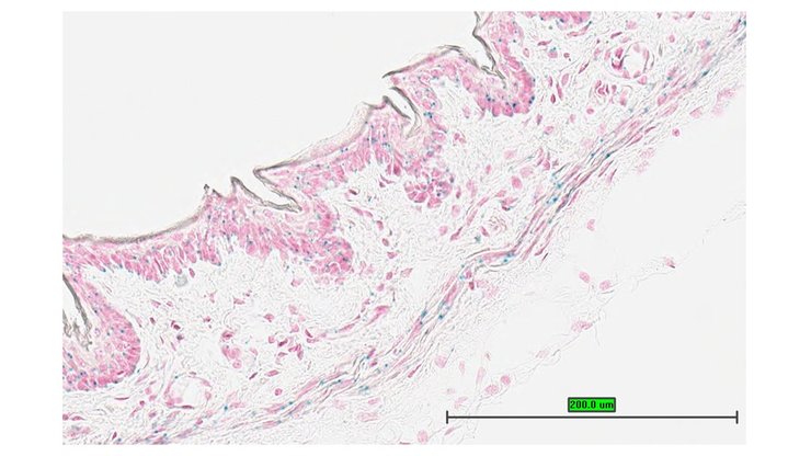
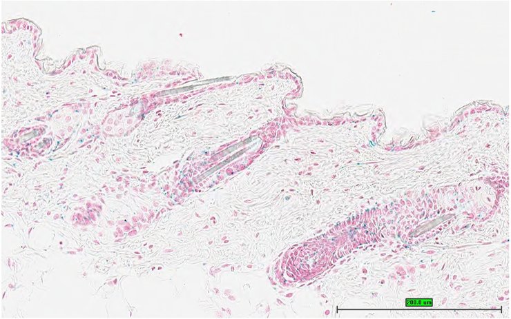
TS28: skin Present UC Davis_1860650

Specimen UC Davis_1860651: postnatal adult; Inpp5etm1.1(KOMP)Vlcg/Inpp5e+ (more )
Structure Level Pattern Image Note
TS28: skin Present UC Davis_1860651

Specimen UC Davis_1860655: postnatal adult; Inpp5etm1.1(KOMP)Vlcg/Inpp5e+ (more )
Structure Level Pattern Image Note
TS28: midbrain Present UC Davis_1860655

Specimen UC Davis_1860657: postnatal adult; Inpp5etm1.1(KOMP)Vlcg/Inpp5e+ (more )
Structure Level Pattern Image Note
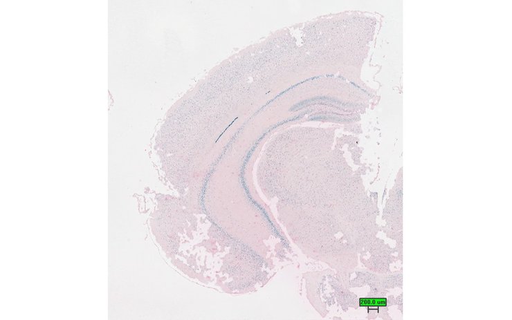
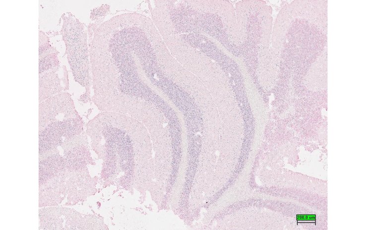
TS28: cerebellum Present UC Davis_1860657

Specimen UC Davis_1860658: postnatal adult; Inpp5etm1.1(KOMP)Vlcg/Inpp5e+ (more )
Structure Level Pattern Image Note
TS28: cerebellum Present UC Davis_1860658

Specimen UC Davis_1860659: postnatal adult; Inpp5etm1.1(KOMP)Vlcg/Inpp5e+ (more )
Structure Level Pattern Image Note
TS28: trigeminal nerve Present UC Davis_1860659

Specimen UC Davis_1860660: postnatal adult; Inpp5etm1.1(KOMP)Vlcg/Inpp5e+ (more )
Structure Level Pattern Image Note
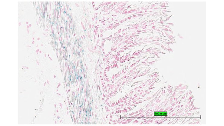
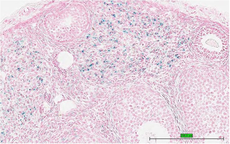
TS28: ovary Present UC Davis_1860660

Specimen UC Davis_1860661: postnatal adult; Inpp5etm1.1(KOMP)Vlcg/Inpp5e+ (more )
Structure Level Pattern Image Note
TS28: ovary Present UC Davis_1860661

Specimen UC Davis_1860662: postnatal adult; Inpp5etm1.1(KOMP)Vlcg/Inpp5e+ (more )
Structure Level Pattern Image Note
TS28: ovary Present UC Davis_1860662

Specimen UC Davis_1860663: postnatal adult; Inpp5etm1.1(KOMP)Vlcg/Inpp5e+ (more )
Structure Level Pattern Image Note
TS28: ovary Present UC Davis_1860663

Specimen UC Davis_1860664: postnatal adult; Inpp5etm1.1(KOMP)Vlcg/Inpp5e+ (more )
Structure Level Pattern Image Note
TS28: oviduct Present UC Davis_1860664

Specimen UC Davis_1860665: postnatal adult; Inpp5etm1.1(KOMP)Vlcg/Inpp5e+ (more )
Structure Level Pattern Image Note
TS28: uterus Present UC Davis_1860665

Specimen UC Davis_1860666: postnatal adult; Inpp5etm1.1(KOMP)Vlcg/Inpp5e+ (more )
Structure Level Pattern Image Note
TS28: uterus Present UC Davis_1860666

Specimen UC Davis_1860667: postnatal adult; Inpp5etm1.1(KOMP)Vlcg/Inpp5e+ (more )
Structure Level Pattern Image Note
TS28: uterus Present UC Davis_1860667

Specimen UC Davis_1860668: postnatal adult; Inpp5etm1.1(KOMP)Vlcg/Inpp5e+ (more )
Structure Level Pattern Image Note
TS28: uterus Present UC Davis_1860668

Specimen UC Davis_1860669: postnatal adult; Inpp5etm1.1(KOMP)Vlcg/Inpp5e+ (more )
Structure Level Pattern Image Note
TS28: bladder Present UC Davis_1860669

Specimen UC Davis_1860670: postnatal adult; Inpp5etm1.1(KOMP)Vlcg/Inpp5e+ (more )
Structure Level Pattern Image Note
TS28: bladder Present UC Davis_1860670

Specimen UC Davis_1860674: postnatal adult; Inpp5etm1.1(KOMP)Vlcg/Inpp5e+ (more )
Structure Level Pattern Image Note
TS28: mammary gland Present UC Davis_1860674

Specimen UC Davis_1860675: postnatal adult; Inpp5etm1.1(KOMP)Vlcg/Inpp5e+ (more )
Structure Level Pattern Image Note
TS28: mammary gland Present UC Davis_1860675

Specimen UC Davis_1860781: postnatal adult; Inpp5etm1.1(KOMP)Vlcg/Inpp5e+ (more )
Structure Level Pattern Image Note
TS28: ovary Present UC Davis_1860781

Specimen UC Davis_1860782: postnatal adult; Inpp5etm1.1(KOMP)Vlcg/Inpp5e+ (more )
Structure Level Pattern Image Note
TS28: oviduct Present UC Davis_1860782

Specimen UC Davis_1860783: postnatal adult; Inpp5etm1.1(KOMP)Vlcg/Inpp5e+ (more )
Structure Level Pattern Image Note
TS28: uterus Present UC Davis_1860783

Specimen UC Davis_1860676: postnatal adult; Inpp5etm1.1(KOMP)Vlcg/Inpp5e+ (more )
Structure Level Pattern Image Note
TS28: submandibular gland Present UC Davis_1860676

Specimen UC Davis_1860677: postnatal adult; Inpp5etm1.1(KOMP)Vlcg/Inpp5e+ (more )
Structure Level Pattern Image Note
TS28: parotid gland Present UC Davis_1860677

Specimen UC Davis_1860678: postnatal adult; Inpp5etm1.1(KOMP)Vlcg/Inpp5e+ (more )
Structure Level Pattern Image Note
TS28: trachea Present UC Davis_1860678

Specimen UC Davis_1860679: postnatal adult; Inpp5etm1.1(KOMP)Vlcg/Inpp5e+ (more )
Structure Level Pattern Image Note
TS28: trachea Present UC Davis_1860679

Specimen UC Davis_1860680: postnatal adult; Inpp5etm1.1(KOMP)Vlcg/Inpp5e+ (more )
Structure Level Pattern Image Note
TS28: esophagus Absent UC Davis_1860680

Specimen UC Davis_1860681: postnatal adult; Inpp5etm1.1(KOMP)Vlcg/Inpp5e+ (more )
Structure Level Pattern Image Note
TS28: thyroid gland Present UC Davis_1860681

Specimen UC Davis_1860682: postnatal adult; Inpp5etm1.1(KOMP)Vlcg/Inpp5e+ (more )
Structure Level Pattern Image Note
TS28: thyroid gland Present UC Davis_1860682

Specimen UC Davis_1860685: postnatal adult; Inpp5etm1.1(KOMP)Vlcg/Inpp5e+ (more )
Structure Level Pattern Image Note
TS28: parathyroid gland Present UC Davis_1860685

Specimen UC Davis_1860686: postnatal adult; Inpp5etm1.1(KOMP)Vlcg/Inpp5e+ (more )
Structure Level Pattern Image Note
TS28: lung Present UC Davis_1860686

Specimen UC Davis_1860687: postnatal adult; Inpp5etm1.1(KOMP)Vlcg/Inpp5e+ (more )
Structure Level Pattern Image Note
TS28: lung Present UC Davis_1860687

Specimen UC Davis_1860688: postnatal adult; Inpp5etm1.1(KOMP)Vlcg/Inpp5e+ (more )
Structure Level Pattern Image Note
TS28: thymus Present UC Davis_1860688

Specimen UC Davis_1860689: postnatal adult; Inpp5etm1.1(KOMP)Vlcg/Inpp5e+ (more )
Structure Level Pattern Image Note
TS28: thymus Present UC Davis_1860689

Specimen UC Davis_1860692: postnatal adult; Inpp5etm1.1(KOMP)Vlcg/Inpp5e+ (more )
Structure Level Pattern Image Note
TS28: stomach Present UC Davis_1860692

Specimen UC Davis_1860693: postnatal adult; Inpp5etm1.1(KOMP)Vlcg/Inpp5e+ (more )
Structure Level Pattern Image Note
TS28: stomach Present UC Davis_1860693

Specimen UC Davis_1860694: postnatal adult; Inpp5etm1.1(KOMP)Vlcg/Inpp5e+ (more )
Structure Level Pattern Image Note
TS28: stomach Present UC Davis_1860694

Specimen UC Davis_1860695: postnatal adult; Inpp5etm1.1(KOMP)Vlcg/Inpp5e+ (more )
Structure Level Pattern Image Note
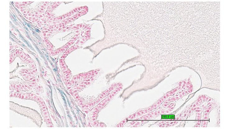
TS28: duodenum Present UC Davis_1860695

Specimen UC Davis_1860696: postnatal adult; Inpp5etm1.1(KOMP)Vlcg/Inpp5e+ (more )
Structure Level Pattern Image Note
TS28: ileum Present UC Davis_1860696

Specimen UC Davis_1860697: postnatal adult; Inpp5etm1.1(KOMP)Vlcg/Inpp5e+ (more )
Structure Level Pattern Image Note
TS28: ileum Present UC Davis_1860697

Specimen UC Davis_1860698: postnatal adult; Inpp5etm1.1(KOMP)Vlcg/Inpp5e+ (more )
Structure Level Pattern Image Note
TS28: colon Present UC Davis_1860698

Specimen UC Davis_1860699: postnatal adult; Inpp5etm1.1(KOMP)Vlcg/Inpp5e+ (more )
Structure Level Pattern Image Note
TS28: cecum Present UC Davis_1860699

Specimen UC Davis_1860700: postnatal adult; Inpp5etm1.1(KOMP)Vlcg/Inpp5e+ (more )
Structure Level Pattern Image Note
TS28: metanephros Present UC Davis_1860700 kidney

Specimen UC Davis_1860701: postnatal adult; Inpp5etm1.1(KOMP)Vlcg/Inpp5e+ (more )
Structure Level Pattern Image Note
TS28: metanephros Present UC Davis_1860701 kidney

Specimen UC Davis_1860702: postnatal adult; Inpp5etm1.1(KOMP)Vlcg/Inpp5e+ (more )
Structure Level Pattern Image Note
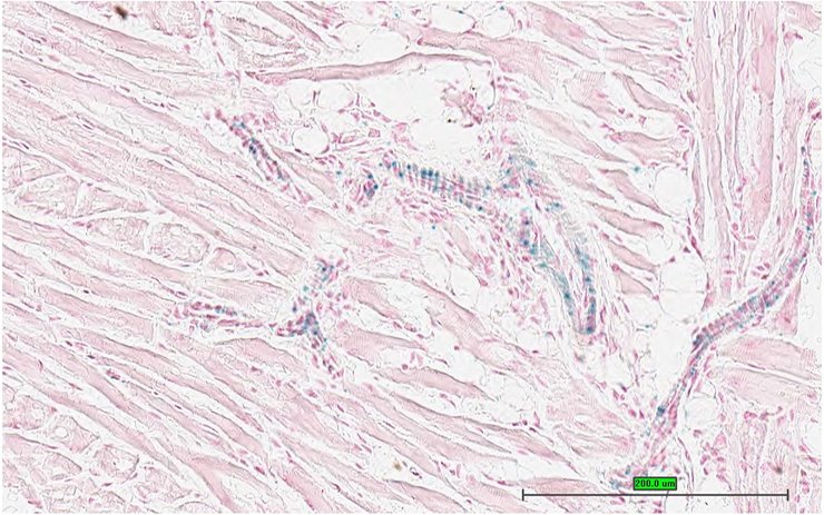
TS28: sciatic nerve Present UC Davis_1860702

Specimen UC Davis_1860703: postnatal adult; Inpp5etm1.1(KOMP)Vlcg/Inpp5e+ (more )
Structure Level Pattern Image Note
TS28: adrenal gland Present UC Davis_1860703

Specimen UC Davis_1860704: postnatal adult; Inpp5etm1.1(KOMP)Vlcg/Inpp5e+ (more )
Structure Level Pattern Image Note
TS28: adrenal gland Present UC Davis_1860704

Specimen UC Davis_1860705: postnatal adult; Inpp5etm1.1(KOMP)Vlcg/Inpp5e+ (more )
Structure Level Pattern Image Note
TS28: pituitary gland Present UC Davis_1860705

Specimen UC Davis_1860706: postnatal adult; Inpp5etm1.1(KOMP)Vlcg/Inpp5e+ (more )
Structure Level Pattern Image Note
TS28: spinal cord Present UC Davis_1860706

Specimen UC Davis_1860707: postnatal adult; Inpp5etm1.1(KOMP)Vlcg/Inpp5e+ (more )
Structure Level Pattern Image Note
TS28: spinal cord Present UC Davis_1860707

Specimen UC Davis_1860708: postnatal adult; Inpp5etm1.1(KOMP)Vlcg/Inpp5e+ (more )
Structure Level Pattern Image Note
TS28: eye Present UC Davis_1860708

Specimen UC Davis_1860709: postnatal adult; Inpp5etm1.1(KOMP)Vlcg/Inpp5e+ (more )
Structure Level Pattern Image Note
TS28: eye Present UC Davis_1860709

Specimen UC Davis_1860710: postnatal adult; Inpp5etm1.1(KOMP)Vlcg/Inpp5e+ (more )
Structure Level Pattern Image Note
TS28: eye Present UC Davis_1860710

Specimen UC Davis_1860713: postnatal adult; Inpp5etm1.1(KOMP)Vlcg/Inpp5e+ (more )
Structure Level Pattern Image Note
TS28: Harderian gland Present UC Davis_1860713

Specimen UC Davis_1860714: postnatal adult; Inpp5etm1.1(KOMP)Vlcg/Inpp5e+ (more )
Structure Level Pattern Image Note
TS28: skin Present UC Davis_1860714

Specimen UC Davis_1860715: postnatal adult; Inpp5etm1.1(KOMP)Vlcg/Inpp5e+ (more )
Structure Level Pattern Image Note
TS28: skin Present UC Davis_1860715

Specimen UC Davis_1860718: postnatal adult; Inpp5etm1.1(KOMP)Vlcg/Inpp5e+ (more )
Structure Level Pattern Image Note
TS28: midbrain Present UC Davis_1860718

Specimen UC Davis_1860721: postnatal adult; Inpp5etm1.1(KOMP)Vlcg/Inpp5e+ (more )
Structure Level Pattern Image Note
TS28: cerebellum Present UC Davis_1860721

Specimen UC Davis_1860722: postnatal adult; Inpp5etm1.1(KOMP)Vlcg/Inpp5e+ (more )
Structure Level Pattern Image Note
TS28: trigeminal nerve Present UC Davis_1860722

Specimen UC Davis_1860723: postnatal adult; Inpp5etm1.1(KOMP)Vlcg/Inpp5e+ (more )
Structure Level Pattern Image Note
TS28: trigeminal nerve Present UC Davis_1860723

Specimen UC Davis_1860724: postnatal adult; Inpp5etm1.1(KOMP)Vlcg/Inpp5e+ (more )
Structure Level Pattern Image Note
TS28: bladder Present UC Davis_1860724

Specimen UC Davis_1860725: postnatal adult; Inpp5etm1.1(KOMP)Vlcg/Inpp5e+ (more )
Structure Level Pattern Image Note
TS28: bladder Present UC Davis_1860725

Specimen UC Davis_1860726: postnatal adult; Inpp5etm1.1(KOMP)Vlcg/Inpp5e+ (more )
Structure Level Pattern Image Note
TS28: testis Present UC Davis_1860726

Specimen UC Davis_1860727: postnatal adult; Inpp5etm1.1(KOMP)Vlcg/Inpp5e+ (more )
Structure Level Pattern Image Note
TS28: testis Present UC Davis_1860727

Specimen UC Davis_1860728: postnatal adult; Inpp5etm1.1(KOMP)Vlcg/Inpp5e+ (more )
Structure Level Pattern Image Note
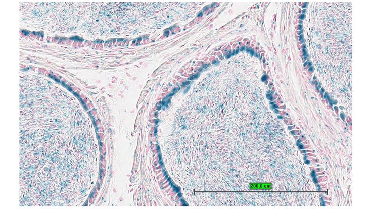
TS28: epididymis Present UC Davis_1860728

Specimen UC Davis_1860729: postnatal adult; Inpp5etm1.1(KOMP)Vlcg/Inpp5e+ (more )
Structure Level Pattern Image Note
TS28: epididymis Present UC Davis_1860729

Specimen UC Davis_1860730: postnatal adult; Inpp5etm1.1(KOMP)Vlcg/Inpp5e+ (more )
Structure Level Pattern Image Note
TS28: epididymis Present UC Davis_1860730

Specimen UC Davis_1860731: postnatal adult; Inpp5etm1.1(KOMP)Vlcg/Inpp5e+ (more )
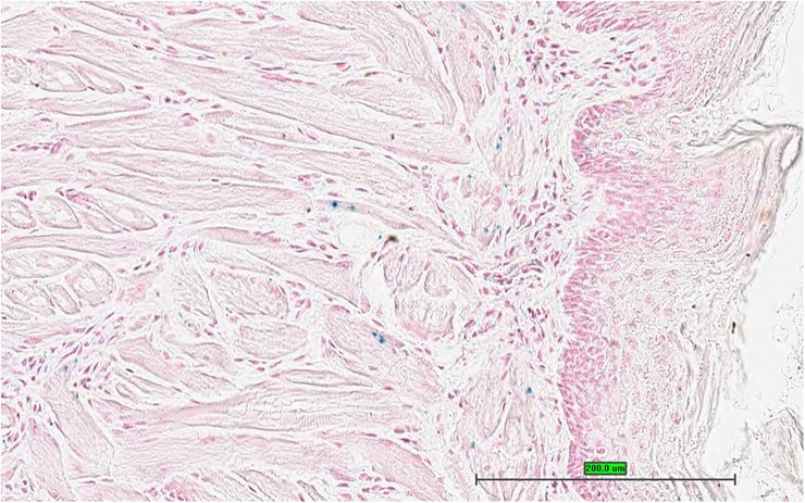
Structure Level Pattern Image Note
TS28: penis Present UC Davis_1860731

Specimen UC Davis_1860732: postnatal adult; Inpp5etm1.1(KOMP)Vlcg/Inpp5e+ (more )
Structure Level Pattern Image Note
TS28: penis Present UC Davis_1860732

Specimen UC Davis_1860734: postnatal adult; Inpp5etm1.1(KOMP)Vlcg/Inpp5e+ (more )
Structure Level Pattern Image Note
TS28: seminal vesicle Present UC Davis_1860734 vesicular gland

Specimen UC Davis_1860735: postnatal adult; Inpp5etm1.1(KOMP)Vlcg/Inpp5e+ (more )
Structure Level Pattern Image Note
TS28: seminal vesicle Present UC Davis_1860735 vesicular gland

Specimen UC Davis_1860736: postnatal adult; Inpp5etm1.1(KOMP)Vlcg/Inpp5e+ (more )
Structure Level Pattern Image Note
TS28: tongue Present UC Davis_1860736

Specimen UC Davis_1860737: postnatal adult; Inpp5etm1.1(KOMP)Vlcg/Inpp5e+ (more )
Structure Level Pattern Image Note
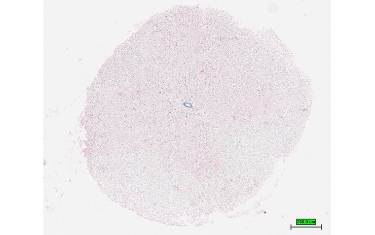
TS28: spleen Present UC Davis_1860737

Specimen UC Davis_1860738: postnatal adult; Inpp5etm1.1(KOMP)Vlcg/Inpp5e+ (more )
Structure Level Pattern Image Note
TS28: pancreas Present UC Davis_1860738

Specimen UC Davis_1860739: postnatal adult; Inpp5etm1.1(KOMP)Vlcg/Inpp5e+ (more )
Structure Level Pattern Image Note
TS28: sciatic nerve Present UC Davis_1860739

Specimen UC Davis_1860740: postnatal adult; Inpp5etm1.1(KOMP)Vlcg/Inpp5e+ (more )
Structure Level Pattern Image Note
TS28: olfactory lobe Present UC Davis_1860740

Specimen UC Davis_1860743: postnatal adult; Inpp5etm1.1(KOMP)Vlcg/Inpp5e+ (more )
Structure Level Pattern Image Note
TS28: midbrain Present UC Davis_1860743

Specimen UC Davis_1860745: postnatal adult; Inpp5etm1.1(KOMP)Vlcg/Inpp5e+ (more )
Structure Level Pattern Image Note
TS28: cerebellum Present UC Davis_1860745

Specimen UC Davis_1860746: postnatal adult; Inpp5etm1.1(KOMP)Vlcg/Inpp5e+ (more )
Structure Level Pattern Image Note
TS28: brain Present UC Davis_1860746

Specimen UC Davis_1860747: postnatal adult; Inpp5etm1.1(KOMP)Vlcg/Inpp5e+ (more )
Structure Level Pattern Image Note
TS28: lung Present UC Davis_1860747

Specimen UC Davis_1860748: postnatal adult; Inpp5etm1.1(KOMP)Vlcg/Inpp5e+ (more )
Structure Level Pattern Image Note
TS28: aorta Present UC Davis_1860748

Specimen UC Davis_1860750: postnatal adult; Inpp5etm1.1(KOMP)Vlcg/Inpp5e+ (more )
Structure Level Pattern Image Note
TS28: thymus Present UC Davis_1860750

Specimen UC Davis_1860751: postnatal adult; Inpp5etm1.1(KOMP)Vlcg/Inpp5e+ (more )
Structure Level Pattern Image Note
TS28: metanephros Present UC Davis_1860751 kidney

Specimen UC Davis_1860752: postnatal adult; Inpp5etm1.1(KOMP)Vlcg/Inpp5e+ (more )
Structure Level Pattern Image Note
TS28: adrenal gland Present UC Davis_1860752

Specimen UC Davis_1860753: postnatal adult; Inpp5etm1.1(KOMP)Vlcg/Inpp5e+ (more )
Structure Level Pattern Image Note
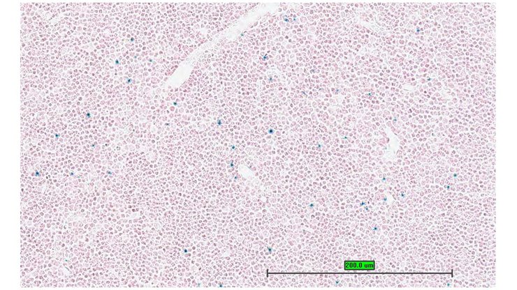
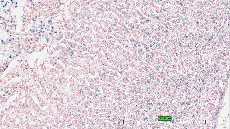
TS28: liver Present UC Davis_1860753

Specimen UC Davis_1860754: postnatal adult; Inpp5etm1.1(KOMP)Vlcg/Inpp5e+ (more )
Structure Level Pattern Image Note
TS28: diaphragm Present UC Davis_1860754

Specimen UC Davis_1860755: postnatal adult; Inpp5etm1.1(KOMP)Vlcg/Inpp5e+ (more )
Structure Level Pattern Image Note
TS28: skin Present UC Davis_1860755

Specimen UC Davis_1860757: postnatal adult; Inpp5etm1.1(KOMP)Vlcg/Inpp5e+ (more )
Structure Level Pattern Image Note
TS28: trachea Present UC Davis_1860757

Specimen UC Davis_1860759: postnatal adult; Inpp5etm1.1(KOMP)Vlcg/Inpp5e+ (more )
Structure Level Pattern Image Note
TS28: thyroid gland Present UC Davis_1860759

Specimen UC Davis_1860760: postnatal adult; Inpp5etm1.1(KOMP)Vlcg/Inpp5e+ (more )
Structure Level Pattern Image Note
TS28: spinal cord Present UC Davis_1860760

Specimen UC Davis_1860761: postnatal adult; Inpp5etm1.1(KOMP)Vlcg/Inpp5e+ (more )
Structure Level Pattern Image Note
TS28: pituitary gland Present UC Davis_1860761

Specimen UC Davis_1860762: postnatal adult; Inpp5etm1.1(KOMP)Vlcg/Inpp5e+ (more )
Structure Level Pattern Image Note
TS28: eye Present UC Davis_1860762

Specimen UC Davis_1860763: postnatal adult; Inpp5etm1.1(KOMP)Vlcg/Inpp5e+ (more )
Structure Level Pattern Image Note
TS28: Harderian gland Present UC Davis_1860763

Specimen UC Davis_1860764: postnatal adult; Inpp5etm1.1(KOMP)Vlcg/Inpp5e+ (more )
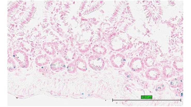
Structure Level Pattern Image Note
TS28: stomach Present UC Davis_1860764

Specimen UC Davis_1860765: postnatal adult; Inpp5etm1.1(KOMP)Vlcg/Inpp5e+ (more )
Structure Level Pattern Image Note
TS28: duodenum Present UC Davis_1860765

Specimen UC Davis_1860766: postnatal adult; Inpp5etm1.1(KOMP)Vlcg/Inpp5e+ (more )
Structure Level Pattern Image Note
TS28: jejunum Present UC Davis_1860766

Specimen UC Davis_1860767: postnatal adult; Inpp5etm1.1(KOMP)Vlcg/Inpp5e+ (more )
Structure Level Pattern Image Note
TS28: ileum Present UC Davis_1860767

Specimen UC Davis_1860768: postnatal adult; Inpp5etm1.1(KOMP)Vlcg/Inpp5e+ (more )
Structure Level Pattern Image Note
TS28: colon Present UC Davis_1860768

Specimen UC Davis_1860769: postnatal adult; Inpp5etm1.1(KOMP)Vlcg/Inpp5e+ (more )
Structure Level Pattern Image Note
TS28: mesenteric lymph node Present UC Davis_1860769

Specimen UC Davis_1860770: postnatal adult; Inpp5etm1.1(KOMP)Vlcg/Inpp5e+ (more )
Structure Level Pattern Image Note
TS28: bladder Present UC Davis_1860770

Specimen UC Davis_1860771: postnatal adult; Inpp5etm1.1(KOMP)Vlcg/Inpp5e+ (more )
Structure Level Pattern Image Note
TS28: testis Present UC Davis_1860771

Specimen UC Davis_1860772: postnatal adult; Inpp5etm1.1(KOMP)Vlcg/Inpp5e+ (more )
Structure Level Pattern Image Note
TS28: seminal vesicle Present UC Davis_1860772 vesicular gland

Specimen UC Davis_1860773: postnatal adult; Inpp5etm1.1(KOMP)Vlcg/Inpp5e+ (more )
Structure Level Pattern Image Note
TS28: penis Present UC Davis_1860773

Specimen UC Davis_1860774: postnatal adult; Inpp5etm1.1(KOMP)Vlcg/Inpp5e+ (more )
Structure Level Pattern Image Note
TS28: epididymis Present UC Davis_1860774

Specimen UC Davis_1860776: postnatal adult; Inpp5etm1.1(KOMP)Vlcg/Inpp5e+ (more )
Structure Level Pattern Image Note
TS28: gallbladder Present UC Davis_1860776

Specimen UC Davis_1860777: postnatal adult; Inpp5etm1.1(KOMP)Vlcg/Inpp5e+ (more )
Structure Level Pattern Image Note
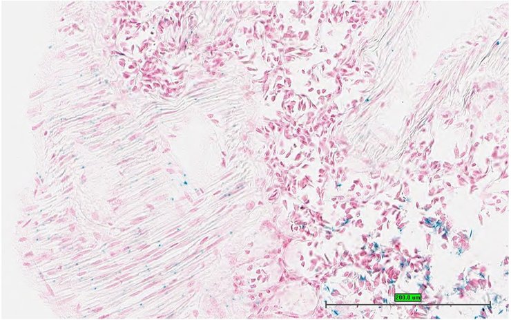
TS28: thoracic segment skeleton Present UC Davis_1860777 chest bone


Contributing Projects:
Mouse Genome Database (MGD), Gene Expression Database (GXD), Mouse Models of Human Cancer database (MMHCdb) (formerly Mouse Tumor Biology (MTB)), Gene Ontology (GO)
Citing These Resources
Funding Information
Warranty Disclaimer, Privacy Notice, Licensing, & Copyright
Send questions and comments to User Support.
last database update
01/20/2026
MGI 6.24
The Jackson Laboratory