About   Help   FAQ
Gene Expression Data
Assay Details
Assay
Reference: J:228563 Koscielny G, et al., The International Mouse Phenotyping Consortium Web Portal, a unified point of access for knockout mice and related phenotyping data. Nucleic Acids Res. 2014 Jan;42(Database issue):D802-9
Assay type: In situ reporter (knock in)
MGI Accession ID: MGI:6691840
Gene symbol: Pygo2
Gene name: pygopus 2
Reporter: lacZ
Direct Detection
Results
Specimen UC Davis_1888154: postnatal adult; Pygo2tm1b(EUCOMM)Wtsi/Pygo2+ (more )
Structure Level Pattern Image Note
TS28: submandibular gland Present UC Davis_1888154

Specimen UC Davis_1888155: postnatal adult; Pygo2tm1b(EUCOMM)Wtsi/Pygo2+ (more )
Structure Level Pattern Image Note
TS28: submandibular gland Present UC Davis_1888155

Specimen UC Davis_1888156: postnatal adult; Pygo2tm1b(EUCOMM)Wtsi/Pygo2+ (more )
Structure Level Pattern Image Note
TS28: sublingual gland Present UC Davis_1888156

Specimen UC Davis_1888157: postnatal adult; Pygo2tm1b(EUCOMM)Wtsi/Pygo2+ (more )
Structure Level Pattern Image Note
TS28: parotid gland Present UC Davis_1888157

Specimen UC Davis_1888158: postnatal adult; Pygo2tm1b(EUCOMM)Wtsi/Pygo2+ (more )
Structure Level Pattern Image Note
TS28: trachea Present UC Davis_1888158

Specimen UC Davis_1888159: postnatal adult; Pygo2tm1b(EUCOMM)Wtsi/Pygo2+ (more )
Structure Level Pattern Image Note
TS28: esophagus Present UC Davis_1888159

Specimen UC Davis_1888160: postnatal adult; Pygo2tm1b(EUCOMM)Wtsi/Pygo2+ (more )
Structure Level Pattern Image Note
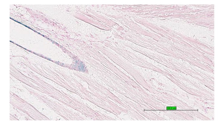
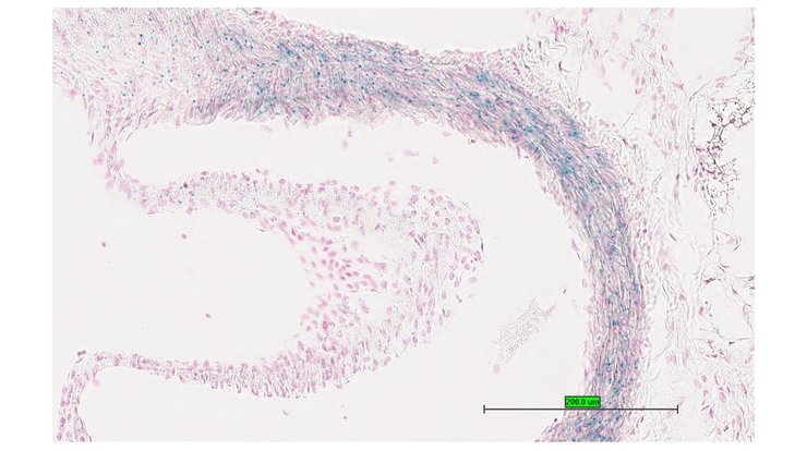
TS28: aorta Present UC Davis_1888160

Specimen UC Davis_1888161: postnatal adult; Pygo2tm1b(EUCOMM)Wtsi/Pygo2+ (more )
Structure Level Pattern Image Note
TS28: lung Present UC Davis_1888161

Specimen UC Davis_1888162: postnatal adult; Pygo2tm1b(EUCOMM)Wtsi/Pygo2+ (more )
Structure Level Pattern Image Note
TS28: lung Present UC Davis_1888162

Specimen UC Davis_1888163: postnatal adult; Pygo2tm1b(EUCOMM)Wtsi/Pygo2+ (more )
Structure Level Pattern Image Note
TS28: thymus Present UC Davis_1888163

Specimen UC Davis_1888167: postnatal adult; Pygo2tm1b(EUCOMM)Wtsi/Pygo2+ (more )
Structure Level Pattern Image Note
TS28: stomach Present UC Davis_1888167

Specimen UC Davis_1888168: postnatal adult; Pygo2tm1b(EUCOMM)Wtsi/Pygo2+ (more )
Structure Level Pattern Image Note
TS28: stomach Present UC Davis_1888168

Specimen UC Davis_1888169: postnatal adult; Pygo2tm1b(EUCOMM)Wtsi/Pygo2+ (more )
Structure Level Pattern Image Note
TS28: jejunum Present UC Davis_1888169

Specimen UC Davis_1888170: postnatal adult; Pygo2tm1b(EUCOMM)Wtsi/Pygo2+ (more )
Structure Level Pattern Image Note
TS28: ileum Present UC Davis_1888170

Specimen UC Davis_1888171: postnatal adult; Pygo2tm1b(EUCOMM)Wtsi/Pygo2+ (more )
Structure Level Pattern Image Note
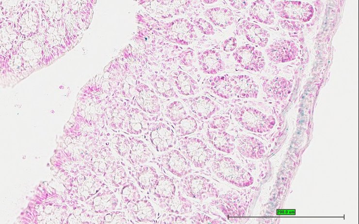
TS28: colon Present UC Davis_1888171

Specimen UC Davis_1888172: postnatal adult; Pygo2tm1b(EUCOMM)Wtsi/Pygo2+ (more )
Structure Level Pattern Image Note
TS28: colon Present UC Davis_1888172

Specimen UC Davis_1888173: postnatal adult; Pygo2tm1b(EUCOMM)Wtsi/Pygo2+ (more )
Structure Level Pattern Image Note
TS28: colon Present UC Davis_1888173

Specimen UC Davis_1888174: postnatal adult; Pygo2tm1b(EUCOMM)Wtsi/Pygo2+ (more )
Structure Level Pattern Image Note
TS28: spleen Present UC Davis_1888174

Specimen UC Davis_1888175: postnatal adult; Pygo2tm1b(EUCOMM)Wtsi/Pygo2+ (more )
Structure Level Pattern Image Note
TS28: spleen Present UC Davis_1888175

Specimen UC Davis_1888176: postnatal adult; Pygo2tm1b(EUCOMM)Wtsi/Pygo2+ (more )
Structure Level Pattern Image Note
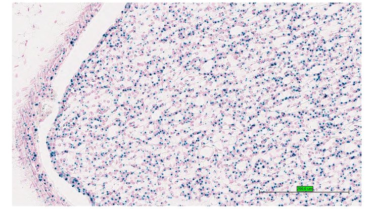
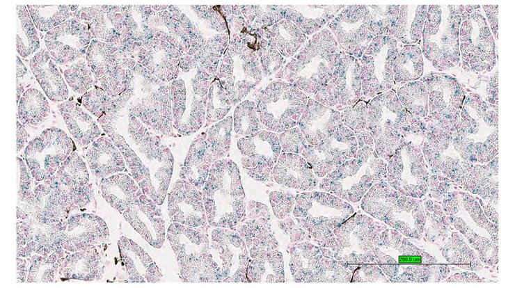
TS28: pancreas Present UC Davis_1888176

Specimen UC Davis_1888177: postnatal adult; Pygo2tm1b(EUCOMM)Wtsi/Pygo2+ (more )
Structure Level Pattern Image Note
TS28: liver Present UC Davis_1888177

Specimen UC Davis_1888178: postnatal adult; Pygo2tm1b(EUCOMM)Wtsi/Pygo2+ (more )
Structure Level Pattern Image Note
TS28: metanephros Present UC Davis_1888178 kidney

Specimen UC Davis_1888179: postnatal adult; Pygo2tm1b(EUCOMM)Wtsi/Pygo2+ (more )
Structure Level Pattern Image Note
TS28: metanephros Present UC Davis_1888179 kidney

Specimen UC Davis_1888180: postnatal adult; Pygo2tm1b(EUCOMM)Wtsi/Pygo2+ (more )
Structure Level Pattern Image Note
TS28: metanephros Present UC Davis_1888180 kidney

Specimen UC Davis_1888181: postnatal adult; Pygo2tm1b(EUCOMM)Wtsi/Pygo2+ (more )
Structure Level Pattern Image Note
TS28: quadriceps femoris muscle Present UC Davis_1888181

Specimen UC Davis_1888182: postnatal adult; Pygo2tm1b(EUCOMM)Wtsi/Pygo2+ (more )
Structure Level Pattern Image Note
TS28: sciatic nerve Present UC Davis_1888182

Specimen UC Davis_1888183: postnatal adult; Pygo2tm1b(EUCOMM)Wtsi/Pygo2+ (more )
Structure Level Pattern Image Note
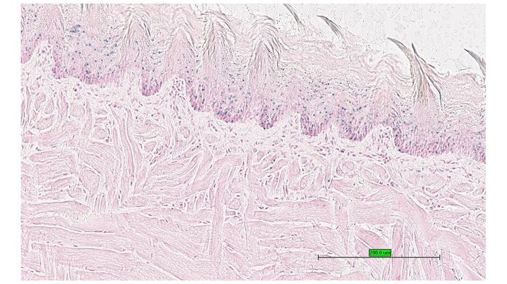
TS28: tongue Present UC Davis_1888183

Specimen UC Davis_1888184: postnatal adult; Pygo2tm1b(EUCOMM)Wtsi/Pygo2+ (more )
Structure Level Pattern Image Note
TS28: tongue Present UC Davis_1888184

Specimen UC Davis_1888185: postnatal adult; Pygo2tm1b(EUCOMM)Wtsi/Pygo2+ (more )
Structure Level Pattern Image Note
TS28: tongue Present UC Davis_1888185

Specimen UC Davis_1888186: postnatal adult; Pygo2tm1b(EUCOMM)Wtsi/Pygo2+ (more )
Structure Level Pattern Image Note
TS28: diaphragm Present UC Davis_1888186

Specimen UC Davis_1888187: postnatal adult; Pygo2tm1b(EUCOMM)Wtsi/Pygo2+ (more )
Structure Level Pattern Image Note
TS28: adrenal gland Present UC Davis_1888187

Specimen UC Davis_1888188: postnatal adult; Pygo2tm1b(EUCOMM)Wtsi/Pygo2+ (more )
Structure Level Pattern Image Note
TS28: pituitary gland Present UC Davis_1888188

Specimen UC Davis_1888189: postnatal adult; Pygo2tm1b(EUCOMM)Wtsi/Pygo2+ (more )
Structure Level Pattern Image Note
TS28: spinal cord Present UC Davis_1888189

Specimen UC Davis_1888190: postnatal adult; Pygo2tm1b(EUCOMM)Wtsi/Pygo2+ (more )
Structure Level Pattern Image Note
TS28: spinal cord Present UC Davis_1888190

Specimen UC Davis_1888191: postnatal adult; Pygo2tm1b(EUCOMM)Wtsi/Pygo2+ (more )
Structure Level Pattern Image Note
TS28: eye Present UC Davis_1888191

Specimen UC Davis_1888192: postnatal adult; Pygo2tm1b(EUCOMM)Wtsi/Pygo2+ (more )
Structure Level Pattern Image Note
TS28: eye Present UC Davis_1888192

Specimen UC Davis_1888193: postnatal adult; Pygo2tm1b(EUCOMM)Wtsi/Pygo2+ (more )
Structure Level Pattern Image Note
TS28: eye Present UC Davis_1888193

Specimen UC Davis_1888194: postnatal adult; Pygo2tm1b(EUCOMM)Wtsi/Pygo2+ (more )
Structure Level Pattern Image Note
TS28: eye Present UC Davis_1888194

Specimen UC Davis_1888196: postnatal adult; Pygo2tm1b(EUCOMM)Wtsi/Pygo2+ (more )
Structure Level Pattern Image Note
TS28: Harderian gland Present UC Davis_1888196

Specimen UC Davis_1888197: postnatal adult; Pygo2tm1b(EUCOMM)Wtsi/Pygo2+ (more )
Structure Level Pattern Image Note
TS28: gonadal fat pad Present UC Davis_1888197

Specimen UC Davis_1888198: postnatal adult; Pygo2tm1b(EUCOMM)Wtsi/Pygo2+ (more )
Structure Level Pattern Image Note
TS28: mesenteric adipose tissue Present UC Davis_1888198

Specimen UC Davis_1888199: postnatal adult; Pygo2tm1b(EUCOMM)Wtsi/Pygo2+ (more )
Structure Level Pattern Image Note
TS28: skin Present UC Davis_1888199

Specimen UC Davis_1888200: postnatal adult; Pygo2tm1b(EUCOMM)Wtsi/Pygo2+ (more )
Structure Level Pattern Image Note
TS28: skin Present UC Davis_1888200

Specimen UC Davis_1888201: postnatal adult; Pygo2tm1b(EUCOMM)Wtsi/Pygo2+ (more )
Structure Level Pattern Image Note
TS28: brown fat Present UC Davis_1888201

Specimen UC Davis_1888202: postnatal adult; Pygo2tm1b(EUCOMM)Wtsi/Pygo2+ (more )
Structure Level Pattern Image Note
TS28: olfactory lobe Present UC Davis_1888202

Specimen UC Davis_1888206: postnatal adult; Pygo2tm1b(EUCOMM)Wtsi/Pygo2+ (more )
Structure Level Pattern Image Note
TS28: midbrain Present UC Davis_1888206

Specimen UC Davis_1888208: postnatal adult; Pygo2tm1b(EUCOMM)Wtsi/Pygo2+ (more )
Structure Level Pattern Image Note
TS28: cerebellum Present UC Davis_1888208

Specimen UC Davis_1888209: postnatal adult; Pygo2tm1b(EUCOMM)Wtsi/Pygo2+ (more )
Structure Level Pattern Image Note
TS28: trigeminal nerve Present UC Davis_1888209

Specimen UC Davis_1888210: postnatal adult; Pygo2tm1b(EUCOMM)Wtsi/Pygo2+ (more )
Structure Level Pattern Image Note
TS28: trigeminal nerve Present UC Davis_1888210

Specimen UC Davis_1888211: postnatal adult; Pygo2tm1b(EUCOMM)Wtsi/Pygo2+ (more )
Structure Level Pattern Image Note
TS28: ovary Present UC Davis_1888211

Specimen UC Davis_1888212: postnatal adult; Pygo2tm1b(EUCOMM)Wtsi/Pygo2+ (more )
Structure Level Pattern Image Note
TS28: ovary Present UC Davis_1888212

Specimen UC Davis_1888213: postnatal adult; Pygo2tm1b(EUCOMM)Wtsi/Pygo2+ (more )
Structure Level Pattern Image Note
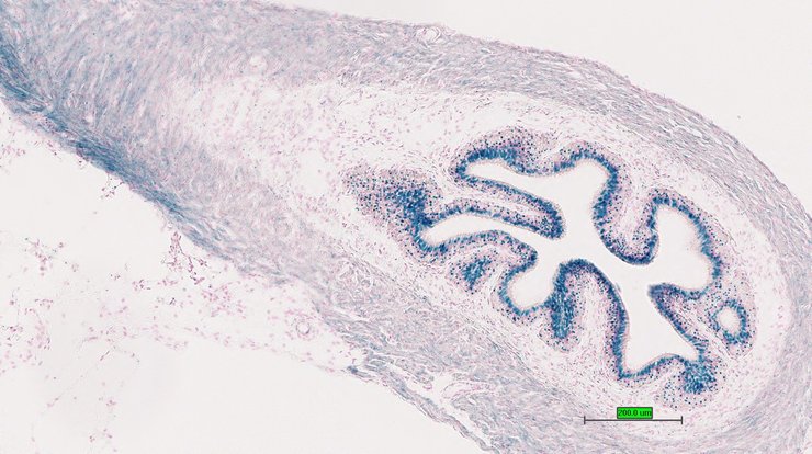
TS28: oviduct Present UC Davis_1888213

Specimen UC Davis_1888214: postnatal adult; Pygo2tm1b(EUCOMM)Wtsi/Pygo2+ (more )
Structure Level Pattern Image Note
TS28: uterus Present UC Davis_1888214

Specimen UC Davis_1888215: postnatal adult; Pygo2tm1b(EUCOMM)Wtsi/Pygo2+ (more )
Structure Level Pattern Image Note
TS28: uterus Present UC Davis_1888215

Specimen UC Davis_1888216: postnatal adult; Pygo2tm1b(EUCOMM)Wtsi/Pygo2+ (more )
Structure Level Pattern Image Note
TS28: vagina Present UC Davis_1888216

Specimen UC Davis_1888217: postnatal adult; Pygo2tm1b(EUCOMM)Wtsi/Pygo2+ (more )
Structure Level Pattern Image Note
TS28: bladder Present UC Davis_1888217

Specimen UC Davis_1888218: postnatal adult; Pygo2tm1b(EUCOMM)Wtsi/Pygo2+ (more )
Structure Level Pattern Image Note
TS28: mammary gland Present UC Davis_1888218

Specimen UC Davis_1888220: postnatal adult; Pygo2tm1b(EUCOMM)Wtsi/Pygo2+ (more )
Structure Level Pattern Image Note
TS28: submandibular gland Present UC Davis_1888220

Specimen UC Davis_1888221: postnatal adult; Pygo2tm1b(EUCOMM)Wtsi/Pygo2+ (more )
Structure Level Pattern Image Note
TS28: submandibular gland Present UC Davis_1888221

Specimen UC Davis_1888222: postnatal adult; Pygo2tm1b(EUCOMM)Wtsi/Pygo2+ (more )
Structure Level Pattern Image Note
TS28: sublingual gland Present UC Davis_1888222

Specimen UC Davis_1888223: postnatal adult; Pygo2tm1b(EUCOMM)Wtsi/Pygo2+ (more )
Structure Level Pattern Image Note
TS28: sublingual gland Present UC Davis_1888223

Specimen UC Davis_1888224: postnatal adult; Pygo2tm1b(EUCOMM)Wtsi/Pygo2+ (more )
Structure Level Pattern Image Note
TS28: parotid gland Present UC Davis_1888224

Specimen UC Davis_1888225: postnatal adult; Pygo2tm1b(EUCOMM)Wtsi/Pygo2+ (more )
Structure Level Pattern Image Note
TS28: parotid gland Present UC Davis_1888225

Specimen UC Davis_1888226: postnatal adult; Pygo2tm1b(EUCOMM)Wtsi/Pygo2+ (more )
Structure Level Pattern Image Note
TS28: trachea Present UC Davis_1888226

Specimen UC Davis_1888227: postnatal adult; Pygo2tm1b(EUCOMM)Wtsi/Pygo2+ (more )
Structure Level Pattern Image Note
TS28: trachea Present UC Davis_1888227

Specimen UC Davis_1888228: postnatal adult; Pygo2tm1b(EUCOMM)Wtsi/Pygo2+ (more )
Structure Level Pattern Image Note
TS28: esophagus Present UC Davis_1888228

Specimen UC Davis_1888229: postnatal adult; Pygo2tm1b(EUCOMM)Wtsi/Pygo2+ (more )
Structure Level Pattern Image Note
TS28: esophagus Present UC Davis_1888229

Specimen UC Davis_1888232: postnatal adult; Pygo2tm1b(EUCOMM)Wtsi/Pygo2+ (more )
Structure Level Pattern Image Note
TS28: aorta Present UC Davis_1888232

Specimen UC Davis_1888233: postnatal adult; Pygo2tm1b(EUCOMM)Wtsi/Pygo2+ (more )
Structure Level Pattern Image Note
TS28: aorta Present UC Davis_1888233

Specimen UC Davis_1888234: postnatal adult; Pygo2tm1b(EUCOMM)Wtsi/Pygo2+ (more )
Structure Level Pattern Image Note
TS28: aorta Present UC Davis_1888234

Specimen UC Davis_1888235: postnatal adult; Pygo2tm1b(EUCOMM)Wtsi/Pygo2+ (more )
Structure Level Pattern Image Note
TS28: lung Present UC Davis_1888235

Specimen UC Davis_1888236: postnatal adult; Pygo2tm1b(EUCOMM)Wtsi/Pygo2+ (more )
Structure Level Pattern Image Note
TS28: thymus Present UC Davis_1888236

Specimen UC Davis_1888237: postnatal adult; Pygo2tm1b(EUCOMM)Wtsi/Pygo2+ (more )
Structure Level Pattern Image Note
TS28: thymus Present UC Davis_1888237

Specimen UC Davis_1888243: postnatal adult; Pygo2tm1b(EUCOMM)Wtsi/Pygo2+ (more )
Structure Level Pattern Image Note
TS28: stomach Present UC Davis_1888243

Specimen UC Davis_1888244: postnatal adult; Pygo2tm1b(EUCOMM)Wtsi/Pygo2+ (more )
Structure Level Pattern Image Note
TS28: stomach Present UC Davis_1888244

Specimen UC Davis_1888245: postnatal adult; Pygo2tm1b(EUCOMM)Wtsi/Pygo2+ (more )
Structure Level Pattern Image Note
TS28: jejunum Present UC Davis_1888245

Specimen UC Davis_1888246: postnatal adult; Pygo2tm1b(EUCOMM)Wtsi/Pygo2+ (more )
Structure Level Pattern Image Note
TS28: jejunum Present UC Davis_1888246

Specimen UC Davis_1888247: postnatal adult; Pygo2tm1b(EUCOMM)Wtsi/Pygo2+ (more )
Structure Level Pattern Image Note
TS28: ileum Present UC Davis_1888247

Specimen UC Davis_1888248: postnatal adult; Pygo2tm1b(EUCOMM)Wtsi/Pygo2+ (more )
Structure Level Pattern Image Note
TS28: colon Present UC Davis_1888248

Specimen UC Davis_1888249: postnatal adult; Pygo2tm1b(EUCOMM)Wtsi/Pygo2+ (more )
Structure Level Pattern Image Note
TS28: colon Present UC Davis_1888249

Specimen UC Davis_1888250: postnatal adult; Pygo2tm1b(EUCOMM)Wtsi/Pygo2+ (more )
Structure Level Pattern Image Note
TS28: cecum Present UC Davis_1888250

Specimen UC Davis_1888251: postnatal adult; Pygo2tm1b(EUCOMM)Wtsi/Pygo2+ (more )
Structure Level Pattern Image Note
TS28: spleen Present UC Davis_1888251

Specimen UC Davis_1888252: postnatal adult; Pygo2tm1b(EUCOMM)Wtsi/Pygo2+ (more )
Structure Level Pattern Image Note
TS28: pancreas Present UC Davis_1888252

Specimen UC Davis_1888253: postnatal adult; Pygo2tm1b(EUCOMM)Wtsi/Pygo2+ (more )
Structure Level Pattern Image Note
TS28: pancreas Present UC Davis_1888253

Specimen UC Davis_1888254: postnatal adult; Pygo2tm1b(EUCOMM)Wtsi/Pygo2+ (more )
Structure Level Pattern Image Note
TS28: metanephros Present UC Davis_1888254 kidney

Specimen UC Davis_1888255: postnatal adult; Pygo2tm1b(EUCOMM)Wtsi/Pygo2+ (more )
Structure Level Pattern Image Note
TS28: metanephros Present UC Davis_1888255 kidney

Specimen UC Davis_1888256: postnatal adult; Pygo2tm1b(EUCOMM)Wtsi/Pygo2+ (more )
Structure Level Pattern Image Note
TS28: metanephros Present UC Davis_1888256 kidney

Specimen UC Davis_1888257: postnatal adult; Pygo2tm1b(EUCOMM)Wtsi/Pygo2+ (more )
Structure Level Pattern Image Note
TS28: metanephros Present UC Davis_1888257 kidney

Specimen UC Davis_1888258: postnatal adult; Pygo2tm1b(EUCOMM)Wtsi/Pygo2+ (more )
Structure Level Pattern Image Note
TS28: quadriceps femoris muscle Present UC Davis_1888258

Specimen UC Davis_1888259: postnatal adult; Pygo2tm1b(EUCOMM)Wtsi/Pygo2+ (more )
Structure Level Pattern Image Note
TS28: quadriceps femoris muscle Present UC Davis_1888259

Specimen UC Davis_1888260: postnatal adult; Pygo2tm1b(EUCOMM)Wtsi/Pygo2+ (more )
Structure Level Pattern Image Note
TS28: tongue Present UC Davis_1888260

Specimen UC Davis_1888261: postnatal adult; Pygo2tm1b(EUCOMM)Wtsi/Pygo2+ (more )
Structure Level Pattern Image Note
TS28: tongue Present UC Davis_1888261

Specimen UC Davis_1888262: postnatal adult; Pygo2tm1b(EUCOMM)Wtsi/Pygo2+ (more )
Structure Level Pattern Image Note
TS28: tongue Present UC Davis_1888262

Specimen UC Davis_1888263: postnatal adult; Pygo2tm1b(EUCOMM)Wtsi/Pygo2+ (more )
Structure Level Pattern Image Note
TS28: tongue Present UC Davis_1888263

Specimen UC Davis_1888264: postnatal adult; Pygo2tm1b(EUCOMM)Wtsi/Pygo2+ (more )
Structure Level Pattern Image Note
TS28: diaphragm Present UC Davis_1888264

Specimen UC Davis_1888265: postnatal adult; Pygo2tm1b(EUCOMM)Wtsi/Pygo2+ (more )
Structure Level Pattern Image Note
TS28: diaphragm Present UC Davis_1888265

Specimen UC Davis_1888266: postnatal adult; Pygo2tm1b(EUCOMM)Wtsi/Pygo2+ (more )
Structure Level Pattern Image Note
TS28: adrenal gland Present UC Davis_1888266

Specimen UC Davis_1888267: postnatal adult; Pygo2tm1b(EUCOMM)Wtsi/Pygo2+ (more )
Structure Level Pattern Image Note
TS28: adrenal gland Present UC Davis_1888267

Specimen UC Davis_1888268: postnatal adult; Pygo2tm1b(EUCOMM)Wtsi/Pygo2+ (more )
Structure Level Pattern Image Note
TS28: adrenal gland Present UC Davis_1888268

Specimen UC Davis_1888269: postnatal adult; Pygo2tm1b(EUCOMM)Wtsi/Pygo2+ (more )
Structure Level Pattern Image Note
TS28: pituitary gland Present UC Davis_1888269

Specimen UC Davis_1888270: postnatal adult; Pygo2tm1b(EUCOMM)Wtsi/Pygo2+ (more )
Structure Level Pattern Image Note
TS28: spinal cord Present UC Davis_1888270

Specimen UC Davis_1888271: postnatal adult; Pygo2tm1b(EUCOMM)Wtsi/Pygo2+ (more )
Structure Level Pattern Image Note
TS28: spinal cord Present UC Davis_1888271

Specimen UC Davis_1888272: postnatal adult; Pygo2tm1b(EUCOMM)Wtsi/Pygo2+ (more )
Structure Level Pattern Image Note
TS28: eye Present UC Davis_1888272

Specimen UC Davis_1888274: postnatal adult; Pygo2tm1b(EUCOMM)Wtsi/Pygo2+ (more )
Structure Level Pattern Image Note
TS28: Harderian gland Present UC Davis_1888274

Specimen UC Davis_1888275: postnatal adult; Pygo2tm1b(EUCOMM)Wtsi/Pygo2+ (more )
Structure Level Pattern Image Note
TS28: Harderian gland Present UC Davis_1888275

Specimen UC Davis_1888276: postnatal adult; Pygo2tm1b(EUCOMM)Wtsi/Pygo2+ (more )
Structure Level Pattern Image Note
TS28: skin Present UC Davis_1888276

Specimen UC Davis_1888277: postnatal adult; Pygo2tm1b(EUCOMM)Wtsi/Pygo2+ (more )
Structure Level Pattern Image Note
TS28: skin Present UC Davis_1888277

Specimen UC Davis_1888278: postnatal adult; Pygo2tm1b(EUCOMM)Wtsi/Pygo2+ (more )
Structure Level Pattern Image Note
TS28: olfactory lobe Present UC Davis_1888278

Specimen UC Davis_1888281: postnatal adult; Pygo2tm1b(EUCOMM)Wtsi/Pygo2+ (more )
Structure Level Pattern Image Note
TS28: midbrain Present UC Davis_1888281

Specimen UC Davis_1888283: postnatal adult; Pygo2tm1b(EUCOMM)Wtsi/Pygo2+ (more )
Structure Level Pattern Image Note
TS28: cerebellum Present UC Davis_1888283

Specimen UC Davis_1888284: postnatal adult; Pygo2tm1b(EUCOMM)Wtsi/Pygo2+ (more )
Structure Level Pattern Image Note
TS28: trigeminal nerve Present UC Davis_1888284

Specimen UC Davis_1888285: postnatal adult; Pygo2tm1b(EUCOMM)Wtsi/Pygo2+ (more )
Structure Level Pattern Image Note
TS28: bladder Present UC Davis_1888285

Specimen UC Davis_1888286: postnatal adult; Pygo2tm1b(EUCOMM)Wtsi/Pygo2+ (more )
Structure Level Pattern Image Note
TS28: bladder Present UC Davis_1888286

Specimen UC Davis_1888287: postnatal adult; Pygo2tm1b(EUCOMM)Wtsi/Pygo2+ (more )
Structure Level Pattern Image Note
TS28: testis Present UC Davis_1888287

Specimen UC Davis_1888288: postnatal adult; Pygo2tm1b(EUCOMM)Wtsi/Pygo2+ (more )
Structure Level Pattern Image Note
TS28: epididymis Present UC Davis_1888288

Specimen UC Davis_1888289: postnatal adult; Pygo2tm1b(EUCOMM)Wtsi/Pygo2+ (more )
Structure Level Pattern Image Note
TS28: epididymis Present UC Davis_1888289

Specimen UC Davis_1888290: postnatal adult; Pygo2tm1b(EUCOMM)Wtsi/Pygo2+ (more )
Structure Level Pattern Image Note
TS28: epididymis Present UC Davis_1888290

Specimen UC Davis_1888291: postnatal adult; Pygo2tm1b(EUCOMM)Wtsi/Pygo2+ (more )
Structure Level Pattern Image Note
TS28: penis Present UC Davis_1888291

Specimen UC Davis_1888292: postnatal adult; Pygo2tm1b(EUCOMM)Wtsi/Pygo2+ (more )
Structure Level Pattern Image Note
TS28: penis Present UC Davis_1888292

Specimen UC Davis_1888293: postnatal adult; Pygo2tm1b(EUCOMM)Wtsi/Pygo2+ (more )
Structure Level Pattern Image Note
TS28: ductus deferens Present UC Davis_1888293 vas deferens

Specimen UC Davis_1888294: postnatal adult; Pygo2tm1b(EUCOMM)Wtsi/Pygo2+ (more )
Structure Level Pattern Image Note
TS28: ductus deferens Present UC Davis_1888294 vas deferens

Specimen UC Davis_1888297: postnatal adult; Pygo2tm1b(EUCOMM)Wtsi/Pygo2+ (more )
Structure Level Pattern Image Note
TS28: seminal vesicle Present UC Davis_1888297 vesicular gland

Specimen UC Davis_1888298: postnatal adult; Pygo2tm1b(EUCOMM)Wtsi/Pygo2+ (more )
Structure Level Pattern Image Note
TS28: seminal vesicle Present UC Davis_1888298 vesicular gland


Contributing Projects:
Mouse Genome Database (MGD), Gene Expression Database (GXD), Mouse Models of Human Cancer database (MMHCdb) (formerly Mouse Tumor Biology (MTB)), Gene Ontology (GO)
Citing These Resources
Funding Information
Warranty Disclaimer, Privacy Notice, Licensing, & Copyright
Send questions and comments to User Support.
last database update
01/20/2026
MGI 6.24
The Jackson Laboratory