About   Help   FAQ
Gene Expression Data
Assay Details
Assay
Reference: J:101679 Deltagen Inc, NIH initiative supporting placement of Deltagen, Inc. mice into public repositories. MGI Direct Data Submission. 2005;
Assay type: In situ reporter (knock in)
MGI Accession ID: MGI:3639259
Gene symbol: Mapkapk2
Gene name: MAP kinase-activated protein kinase 2
Reporter: lacZ
Direct Detection
Results
Specimen Mouse 426822 - Image 99252987: postnatal day 53; Mapkapk2tm1Dgen/Mapkapk2+ (more )
Structure Level Pattern Image Note
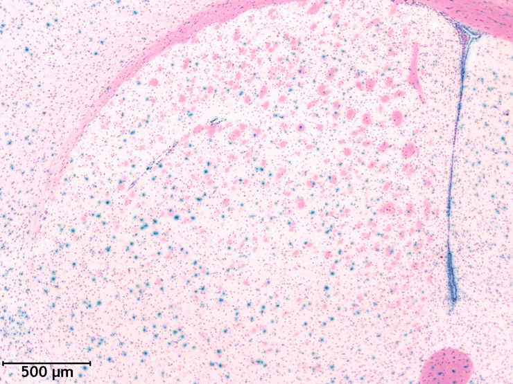
TS28: brain Strong 99252987 Expression is present in practically all cells of the brain.

Specimen Mouse 426822 - Image 99252988: postnatal day 53; Mapkapk2tm1Dgen/Mapkapk2+ (more )
Structure Level Pattern Image Note
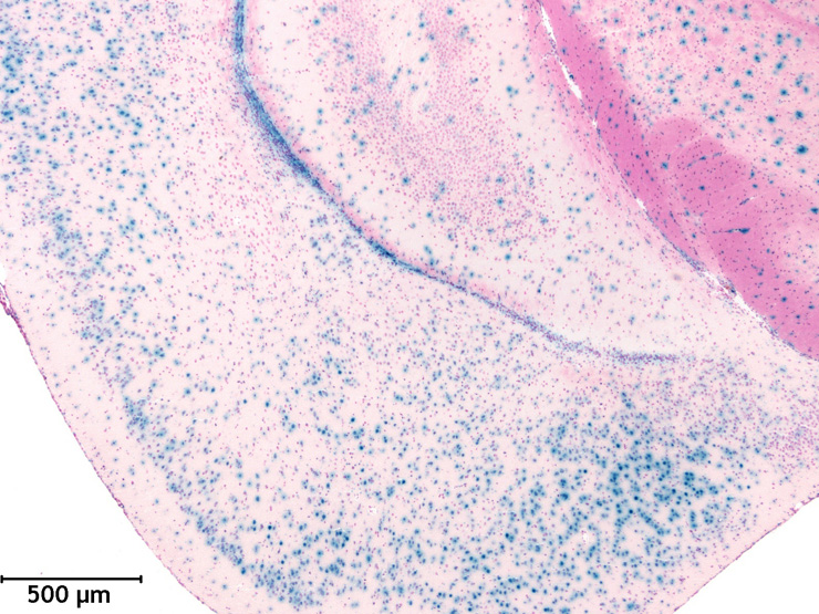
TS28: telencephalon Strong 99252988 Expression is present in practically all cells of the cerebrum.

Specimen Mouse 426822 - Image 99252989: postnatal day 53; Mapkapk2tm1Dgen/Mapkapk2+ (more )
Structure Level Pattern Image Note
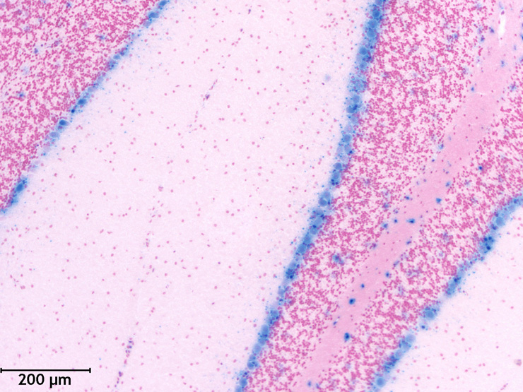
TS28: cerebellum Strong 99252989 Expression is present in practically all cells of the cerebellum.

Specimen Mouse 426822 - Image 99252990: postnatal day 53; Mapkapk2tm1Dgen/Mapkapk2+ (more )
Structure Level Pattern Image Note
TS28: brainstem Strong 99252990 Expression is present in practically all cells of the brainstem.

Specimen Mouse 426822 - Image 99257288: postnatal day 53; Mapkapk2tm1Dgen/Mapkapk2+ (more )
Structure Level Pattern Image Note
TS28: bone marrow Very strong 99257288 There is scattered expression in the bone marrow.

Specimen Mouse 426822 - Image 99257292: postnatal day 53; Mapkapk2tm1Dgen/Mapkapk2+ (more )
Structure Level Pattern Image Note
TS28: ovary follicle Strong Regionally restricted 99257292 Expression is frequently seen in the corpus luteum.

Specimen Mouse 426822 - Image 99257293: postnatal day 53; Mapkapk2tm1Dgen/Mapkapk2+ (more )
Structure Level Pattern Image Note
TS28: ovary Strong Regionally restricted 99257293 Expression is frequently seen in the stroma.

Specimen Mouse 426822 - Image 99257294: postnatal day 53; Mapkapk2tm1Dgen/Mapkapk2+ (more )
Structure Level Pattern Image Note
TS28: ovary Very strong Regionally restricted 99257294 Expression is present in practically all cells of the blood vessels of the ovary.
TS28: blood vessel Very strong Regionally restricted 99257294 Expression is present in practically all cells of the blood vessels of the ovary.

Specimen Mouse 426822 - Image 99257295: postnatal day 53; Mapkapk2tm1Dgen/Mapkapk2+ (more )
Structure Level Pattern Image Note
TS28: ovary follicle Strong 99257295 Expression is frequently seen in the follicle.

Specimen Mouse 426822 - Image 99257301: postnatal day 53; Mapkapk2tm1Dgen/Mapkapk2+ (more )
Structure Level Pattern Image Note
TS28: myometrium Very strong 99257301 Expression is present in practically all cells of the myometrium.

Specimen Mouse 426822 - Image 99257303: postnatal day 53; Mapkapk2tm1Dgen/Mapkapk2+ (more )
Structure Level Pattern Image Note
TS28: uterus Strong Regionally restricted 99257303 Expression is frequently seen in the blood vessels in the uterus.
TS28: blood vessel Strong Regionally restricted 99257303 Expression is frequently seen in the blood vessels in the uterus.

Specimen Mouse 426822 - Image 99257304: postnatal day 53; Mapkapk2tm1Dgen/Mapkapk2+ (more )
Structure Level Pattern Image Note
TS28: endometrium stroma Moderate 99257304 Expression is frequently seen in the endometrial stroma.

Specimen Mouse 426822 - Image 99257305: postnatal day 53; Mapkapk2tm1Dgen/Mapkapk2+ (more )
Structure Level Pattern Image Note
TS28: endometrium epithelium Weak 99257305 There is scattered expression in the endometrial epithelium.

Specimen Mouse 426822 - Image 99257306: postnatal day 53; Mapkapk2tm1Dgen/Mapkapk2+ (more )
Structure Level Pattern Image Note
TS28: endometrium glandular epithelium Weak 99257306 There is scattered expression in the endometrial gland.

Specimen Mouse 426822 - Image 99257308: postnatal day 53; Mapkapk2tm1Dgen/Mapkapk2+ (more )
Structure Level Pattern Image Note
TS28: cervix uteri Strong Regionally restricted 99257308 Expression is frequently seen in the smooth muscle layer.

Specimen Mouse 426822 - Image 99257310: postnatal day 53; Mapkapk2tm1Dgen/Mapkapk2+ (more )
Structure Level Pattern Image Note
TS28: cervix uteri Moderate Regionally restricted 99257310 There is scattered expression in the lamina propria.

Specimen Mouse 426822 - Image 99257311: postnatal day 53; Mapkapk2tm1Dgen/Mapkapk2+ (more )
Structure Level Pattern Image Note
TS28: epithelial layer of cervix uteri Moderate 99257311 There is scattered expression in the epithelium.

Specimen Mouse 426822: postnatal day 53; Mapkapk2tm1Dgen/Mapkapk2+ (more )
Structure Level Pattern Image Note
TS28: cervix uteri Strong Regionally restricted There is scattered expression in the blood vessels of the cervix.
TS28: blood vessel Strong Regionally restricted There is scattered expression in the blood vessels of the cervix.

Specimen Mouse 451449 - Image 99257313: postnatal day 56; Mapkapk2tm1Dgen/Mapkapk2+ (more )
Structure Level Pattern Image Note
TS28: bone marrow Very strong 99257313 There is scattered expression in the bone marrow.

Specimen Mouse 451449 - Image 99257314: postnatal day 56; Mapkapk2tm1Dgen/Mapkapk2+ (more )
Structure Level Pattern Image Note
TS28: skeletal muscle Strong 99257314 There is scattered expression in the skeletal muscle.

Specimen Mouse 451449 - Image 99257316: postnatal day 56; Mapkapk2tm1Dgen/Mapkapk2+ (more )
Structure Level Pattern Image Note
TS28: sciatic nerve Moderate 99257316 Expression is frequently seen in the sciatic nerve.

Specimen Mouse 451449 - Image 99257317: postnatal day 56; Mapkapk2tm1Dgen/Mapkapk2+ (more )
Structure Level Pattern Image Note
TS28: skeletal muscle Very strong Regionally restricted 99257317 Expression is frequently seen in the blood vessels in the skeletal muscle.
TS28: blood vessel Very strong Regionally restricted 99257317 Expression is frequently seen in the blood vessels in the skeletal muscle.

Specimen Mouse 451449 - Image 99257318: postnatal day 56; Mapkapk2tm1Dgen/Mapkapk2+ (more )
Structure Level Pattern Image Note
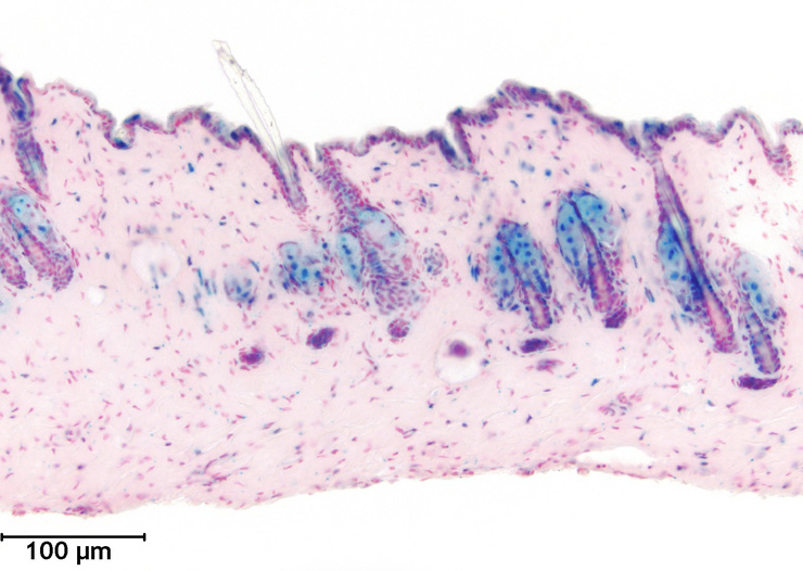
TS28: hair follicle Strong 99257318 Expression is frequently seen in the hair follicles.

Specimen Mouse 451449 - Image 99257356: postnatal day 56; Mapkapk2tm1Dgen/Mapkapk2+ (more )
Structure Level Pattern Image Note
TS28: dermis Strong 99257356 Expression is frequently seen in the dermis.

Specimen Mouse 451449 - Image 99257360: postnatal day 56; Mapkapk2tm1Dgen/Mapkapk2+ (more )
Structure Level Pattern Image Note
TS28: epidermis Strong 99257360 Expression is frequently seen in the epidermis.

Specimen Mouse 451449 - Image 99257361: postnatal day 56; Mapkapk2tm1Dgen/Mapkapk2+ (more )
Structure Level Pattern Image Note
TS28: sebaceous gland Very strong 99257361 Expression is present in practically all cells of the sebaceous gland.

Specimen Mouse 451449 - Image 99257375: postnatal day 56; Mapkapk2tm1Dgen/Mapkapk2+ (more )
Structure Level Pattern Image Note
TS28: thyroid gland Very strong 99257375 Expression is present in practically all cells of the thyroid gland.

Specimen Mouse 451449 - Image 99257385: postnatal day 56; Mapkapk2tm1Dgen/Mapkapk2+ (more )
Structure Level Pattern Image Note
TS28: thyroid gland Very strong Regionally restricted 99257385 Expression is present in practically all cells of the blood vessels of the thyroid gland.
TS28: blood vessel Very strong Regionally restricted 99257385 Expression is present in practically all cells of the blood vessels of the thyroid gland.

Specimen Mouse 451449 - Image 99257396: postnatal day 56; Mapkapk2tm1Dgen/Mapkapk2+ (more )
Structure Level Pattern Image Note
TS28: aorta Strong 99257396 Expression is present in practically all cells of the aorta.

Specimen Mouse 451449 - Image 99257397: postnatal day 56; Mapkapk2tm1Dgen/Mapkapk2+ (more )
Structure Level Pattern Image Note
TS28: aorta Very strong Regionally restricted 99257397 Expression is frequently seen in the periaortic adipose tissue.
TS28: adipose tissue Very strong Regionally restricted 99257397 Expression is frequently seen in the periaortic adipose tissue.

Specimen Mouse 451449 - Image 99257398: postnatal day 56; Mapkapk2tm1Dgen/Mapkapk2+ (more )
Structure Level Pattern Image Note
TS28: trachea Very strong 99257398 Expression is frequently seen in the trachea.

Specimen Mouse 451449 - Image 99257399: postnatal day 56; Mapkapk2tm1Dgen/Mapkapk2+ (more )
Structure Level Pattern Image Note
TS28: trachea cartilage Strong 99257399 Expression is present in practically all cells of the cartilage.

Specimen Mouse 451449 - Image 99257400: postnatal day 56; Mapkapk2tm1Dgen/Mapkapk2+ (more )
Structure Level Pattern Image Note
TS28: ciliary body Very strong 99257400 Expression is present in practically all cells of the ciliary body.

Specimen Mouse 451449 - Image 99257401: postnatal day 56; Mapkapk2tm1Dgen/Mapkapk2+ (more )
Structure Level Pattern Image Note
TS28: optic nerve Moderate 99257401 There is scattered expression in the optic nerve.

Specimen Mouse 451449 - Image 99257403: postnatal day 56; Mapkapk2tm1Dgen/Mapkapk2+ (more )
Structure Level Pattern Image Note
TS28: retina Moderate 99257403 There is scattered expression in the retina.

Specimen Mouse 451449 - Image 99257404: postnatal day 56; Mapkapk2tm1Dgen/Mapkapk2+ (more )
Structure Level Pattern Image Note
TS28: sclera Moderate 99257404 Expression is frequently seen in the sclera.

Specimen Mouse 451449 - Image 99257405: postnatal day 56; Mapkapk2tm1Dgen/Mapkapk2+ (more )
Structure Level Pattern Image Note
TS28: pigmented retinal epithelium Strong 99257405 Expression is frequently seen in the pigment layer.

Specimen Mouse 451449 - Image 99257406: postnatal day 56; Mapkapk2tm1Dgen/Mapkapk2+ (more )
Structure Level Pattern Image Note
TS28: retina inner nuclear layer Strong 99257406 There is scattered expression in the inner nuclear layer.

Specimen Mouse 451449 - Image 99257407: postnatal day 56; Mapkapk2tm1Dgen/Mapkapk2+ (more )
Structure Level Pattern Image Note
TS28: retina ganglion cell layer Weak 99257407 There is scattered expression in the ganglion cell layer.

Specimen Mouse 451449 - Image 99257412: postnatal day 56; Mapkapk2tm1Dgen/Mapkapk2+ (more )
Structure Level Pattern Image Note
TS28: cornea Strong 99257412 There is scattered expression in the cornea.

Specimen Mouse 451449 - Image 99257414: postnatal day 56; Mapkapk2tm1Dgen/Mapkapk2+ (more )
Structure Level Pattern Image Note
TS28: lens Strong 99257414 Expression is frequently seen in the lens.

Specimen Mouse 451449 - Image 99257426: postnatal day 56; Mapkapk2tm1Dgen/Mapkapk2+ (more )
Structure Level Pattern Image Note
TS28: retina outer nuclear layer Moderate 99257426 There is occasional staining in the outer nuclear layer.

Specimen Mouse 451449 - Image 99257440: postnatal day 56; Mapkapk2tm1Dgen/Mapkapk2+ (more )
Structure Level Pattern Image Note
TS28: thymus medullary core Strong 99257440 There is scattered expression in the medulla.

Specimen Mouse 451449 - Image 99257444: postnatal day 56; Mapkapk2tm1Dgen/Mapkapk2+ (more )
Structure Level Pattern Image Note
TS28: thymus cortex Moderate 99257444 There is scattered expression in the cortex.

Specimen Mouse 451449 - Image 99257445: postnatal day 56; Mapkapk2tm1Dgen/Mapkapk2+ (more )
Structure Level Pattern Image Note
TS28: thymus Strong Regionally restricted 99257445 Expression is frequently seen in the blood vessels of the thymus.
TS28: blood vessel Strong Regionally restricted 99257445 Expression is frequently seen in the blood vessels of the thymus.

Specimen Mouse 451449 - Image 99257455: postnatal day 56; Mapkapk2tm1Dgen/Mapkapk2+ (more )
Structure Level Pattern Image Note
TS28: liver Very strong 99257455 Expression is present in practically all cells of the liver.

Specimen Mouse 451449 - Image 99257457: postnatal day 56; Mapkapk2tm1Dgen/Mapkapk2+ (more )
Structure Level Pattern Image Note
TS28: liver Strong Regionally restricted 99257457 Expression is frequently seen in the blood vessels of the liver.
TS28: blood vessel Strong Regionally restricted 99257457 Expression is frequently seen in the blood vessels of the liver.

Specimen Mouse 451449 - Image 99257460: postnatal day 56; Mapkapk2tm1Dgen/Mapkapk2+ (more )
Structure Level Pattern Image Note
TS28: bile duct Moderate 99257460 Expression is frequently seen in the bile duct.

Specimen Mouse 451449 - Image 99257475: postnatal day 56; Mapkapk2tm1Dgen/Mapkapk2+ (more )
Structure Level Pattern Image Note
TS28: lung alveolus Very strong 99257475 Expression is frequently seen in the alveoli.

Specimen Mouse 451449 - Image 99257476: postnatal day 56; Mapkapk2tm1Dgen/Mapkapk2+ (more )
Structure Level Pattern Image Note
TS28: bronchiole epithelium Very strong 99257476 Expression is present in practically all epithelial cells.

Specimen Mouse 451449 - Image 99257477: postnatal day 56; Mapkapk2tm1Dgen/Mapkapk2+ (more )
Structure Level Pattern Image Note
TS28: bronchiole Very strong Regionally restricted 99257477 Expression is present in practically all the smooth muscle cells of the bronchioles.

Specimen Mouse 451449 - Image 99257480: postnatal day 56; Mapkapk2tm1Dgen/Mapkapk2+ (more )
Structure Level Pattern Image Note
TS28: lung Very strong Regionally restricted 99257480 Expression is present in practically all cells of the blood vessels of the lung.
TS28: blood vessel Very strong Regionally restricted 99257480 Expression is present in practically all cells of the blood vessels of the lung.

Specimen Mouse 451449 - Image 99257483: postnatal day 56; Mapkapk2tm1Dgen/Mapkapk2+ (more )
Structure Level Pattern Image Note
TS28: heart Very strong Regionally restricted 99257483 Expression is present in practically all cells of the blood vessels of the heart.
TS28: blood vessel Very strong Regionally restricted 99257483 Expression is present in practically all cells of the blood vessels.

Specimen Mouse 451449 - Image 99257484: postnatal day 56; Mapkapk2tm1Dgen/Mapkapk2+ (more )
Structure Level Pattern Image Note
TS28: heart ventricle Very strong 99257484 Expression is frequently seen in the ventricles.

Specimen Mouse 451449 - Image 99257487: postnatal day 56; Mapkapk2tm1Dgen/Mapkapk2+ (more )
Structure Level Pattern Image Note
TS28: heart valve Very strong 99257487 Expression is frequently seen in the valves.

Specimen Mouse 451449 - Image 99257495: postnatal day 56; Mapkapk2tm1Dgen/Mapkapk2+ (more )
Structure Level Pattern Image Note
TS28: heart atrium Very strong 99257495 Expression is frequently seen in the atrium.

Specimen Mouse 451449 - Image 99257510: postnatal day 56; Mapkapk2tm1Dgen/Mapkapk2+ (more )
Structure Level Pattern Image Note
TS28: renal papilla Very strong 99257510 Expression is present in practically all cells of the papilla.

Specimen Mouse 451449 - Image 99257511: postnatal day 56; Mapkapk2tm1Dgen/Mapkapk2+ (more )
Structure Level Pattern Image Note
TS28: renal pelvis Very strong 99257511 Expression is frequently seen in the kidney pelvis.

Specimen Mouse 451449 - Image 99257512: postnatal day 56; Mapkapk2tm1Dgen/Mapkapk2+ (more )
Structure Level Pattern Image Note
TS28: renal medulla Very strong 99257512 Expression is present in practically all cells of the medulla.

Specimen Mouse 451449 - Image 99257513: postnatal day 56; Mapkapk2tm1Dgen/Mapkapk2+ (more )
Structure Level Pattern Image Note
TS28: renal cortex Very strong 99257513 Expression is present in practically all cells of the cortex.

Specimen Mouse 451449 - Image 99257514: postnatal day 56; Mapkapk2tm1Dgen/Mapkapk2+ (more )
Structure Level Pattern Image Note
TS28: renal tubule Very strong 99257514 Expression is present in practically all cells of the tubules.

Specimen Mouse 451449 - Image 99257515: postnatal day 56; Mapkapk2tm1Dgen/Mapkapk2+ (more )
Structure Level Pattern Image Note
TS28: glomerular tuft Strong 99257515 Expression is frequently seen in the glomeruli.

Specimen Mouse 451449 - Image 99257516: postnatal day 56; Mapkapk2tm1Dgen/Mapkapk2+ (more )
Structure Level Pattern Image Note
TS28: metanephros Very strong Regionally restricted 99257516 Expression is present in practically all cells of the blood vessels of the kidney.
TS28: blood vessel Very strong Regionally restricted 99257516 Expression is present in practically all cells of the blood vessels of the kidney.

Specimen Mouse 451449 - Image 99257530: postnatal day 56; Mapkapk2tm1Dgen/Mapkapk2+ (more )
Structure Level Pattern Image Note
TS28: adrenal cortex Very strong 99257530 Expression is present in practically all cells of the cortex.

Specimen Mouse 451449 - Image 99257531: postnatal day 56; Mapkapk2tm1Dgen/Mapkapk2+ (more )
Structure Level Pattern Image Note
TS28: adrenal gland Very strong Regionally restricted 99257531 Expression is present in practically all cells of the capsule.

Specimen Mouse 451449 - Image 99257532: postnatal day 56; Mapkapk2tm1Dgen/Mapkapk2+ (more )
Structure Level Pattern Image Note
TS28: adrenal medulla Weak 99257532 Expression is frequently seen in the medulla.

Specimen Mouse 451449 - Image 99257552: postnatal day 56; Mapkapk2tm1Dgen/Mapkapk2+ (more )
Structure Level Pattern Image Note
TS28: testis Very strong Regionally restricted 99257552 Expression is present in practically all cells of the tunica albuginea.

Specimen Mouse 451449 - Image 99257553: postnatal day 56; Mapkapk2tm1Dgen/Mapkapk2+ (more )
Structure Level Pattern Image Note
TS28: testis Very strong Regionally restricted 99257553 Expression is present in practically all cells of the blood vessels of the testis.
TS28: blood vessel Very strong Regionally restricted 99257553 Expression is present in practically all cells of the blood vessels of the testis.

Specimen Mouse 451449 - Image 99257554: postnatal day 56; Mapkapk2tm1Dgen/Mapkapk2+ (more )
Structure Level Pattern Image Note
TS28: seminiferous tubule Very strong 99257554 Expression is frequently seen in the seminiferous tubules.

Specimen Mouse 451449 - Image 99257555: postnatal day 56; Mapkapk2tm1Dgen/Mapkapk2+ (more )
Structure Level Pattern Image Note
TS28: interstitium of the testis Very strong 99257555 Expression is frequently seen in the interstitium.

Specimen Mouse 451449 - Image 99257558: postnatal day 56; Mapkapk2tm1Dgen/Mapkapk2+ (more )
Structure Level Pattern Image Note
TS28: prostate gland Very strong Regionally restricted 99257558 Expression is frequently seen in the stroma.

Specimen Mouse 451449 - Image 99257559: postnatal day 56; Mapkapk2tm1Dgen/Mapkapk2+ (more )
Structure Level Pattern Image Note
TS28: prostate epithelium Moderate 99257559 There is scattered expression in the epithelium.

Specimen Mouse 451449 - Image 99257564: postnatal day 56; Mapkapk2tm1Dgen/Mapkapk2+ (more )
Structure Level Pattern Image Note
TS28: lamina propria of bladder Very strong 99257564 Expression is present in practically all cells of the muscularis.

Specimen Mouse 451449 - Image 99257565: postnatal day 56; Mapkapk2tm1Dgen/Mapkapk2+ (more )
Structure Level Pattern Image Note
TS28: urothelium of bladder Strong Regionally restricted 99257565 Expression is frequently seen in the epithelium.

Specimen Mouse 451449 - Image 99257566: postnatal day 56; Mapkapk2tm1Dgen/Mapkapk2+ (more )
Structure Level Pattern Image Note
TS28: bladder Strong Regionally restricted 99257566 Expression is frequently seen in the blood vessels of the urinary bladder.
TS28: blood vessel Strong Regionally restricted 99257566 Expression is frequently seen in the blood vessels of the urinary bladder.

Specimen Mouse 451449 - Image 99257567: postnatal day 56; Mapkapk2tm1Dgen/Mapkapk2+ (more )
Structure Level Pattern Image Note
TS28: lamina propria of bladder Moderate 99257567 There is scattered expression in the lamina propria.

Specimen Mouse 451449 - Image 99257570: postnatal day 56; Mapkapk2tm1Dgen/Mapkapk2+ (more )
Structure Level Pattern Image Note
TS28: lymph node Strong 99257570 Expression is frequently seen in the lymph nodes.

Specimen Mouse 451449 - Image 99257574: postnatal day 56; Mapkapk2tm1Dgen/Mapkapk2+ (more )
Structure Level Pattern Image Note
TS28: pancreas Strong 99257574 Expression is frequently seen in the pancreas.

Specimen Mouse 451449 - Image 99257575: postnatal day 56; Mapkapk2tm1Dgen/Mapkapk2+ (more )
Structure Level Pattern Image Note
TS28: islets of Langerhans Moderate 99257575 Expression is frequently seen in the islets of Langerhans.

Specimen Mouse 451449 - Image 99257577: postnatal day 56; Mapkapk2tm1Dgen/Mapkapk2+ (more )
Structure Level Pattern Image Note
TS28: pancreas Strong Regionally restricted 99257577 Expression is frequently seen in the blood vessels of the pancreas.
TS28: blood vessel Strong Regionally restricted 99257577 Expression is frequently seen in the blood vessels of the pancreas.

Specimen Mouse 451449 - Image 99257578: postnatal day 56; Mapkapk2tm1Dgen/Mapkapk2+ (more )
Structure Level Pattern Image Note
TS28: pancreatic acinus Strong 99257578 Expression is present in practically all cells of the acini.

Specimen Mouse 451449 - Image 99257583: postnatal day 56; Mapkapk2tm1Dgen/Mapkapk2+ (more )
Structure Level Pattern Image Note
TS28: spleen Very strong Regionally restricted 99257583 Expression is present in practically all cells of the blood vessels of the spleen.
TS28: blood vessel Very strong Regionally restricted 99257583 Expression is present in practically all cells of the blood vessels of the spleen.

Specimen Mouse 451449 - Image 99257584: postnatal day 56; Mapkapk2tm1Dgen/Mapkapk2+ (more )
Structure Level Pattern Image Note
TS28: spleen trabeculum Very strong 99257584 Expression is present in practically all cells of the trabeculae.

Specimen Mouse 451449 - Image 99257585: postnatal day 56; Mapkapk2tm1Dgen/Mapkapk2+ (more )
Structure Level Pattern Image Note
TS28: spleen capsule Very strong 99257585 Expression is present in practically all cells of the capsule.

Specimen Mouse 451449 - Image 99257586: postnatal day 56; Mapkapk2tm1Dgen/Mapkapk2+ (more )
Structure Level Pattern Image Note
TS28: spleen white pulp Very strong 99257586 Expression is frequently seen in the white pulp.

Specimen Mouse 451449 - Image 99257587: postnatal day 56; Mapkapk2tm1Dgen/Mapkapk2+ (more )
Structure Level Pattern Image Note
TS28: spleen red pulp Strong 99257587 There is scattered expression in the red pulp.

Specimen Mouse 451449 - Image 99257588: postnatal day 56; Mapkapk2tm1Dgen/Mapkapk2+ (more )
Structure Level Pattern Image Note
TS28: adenohypophysis pars anterior Strong 99257588 Expression is present in practically all cells of the pars distalis.

Specimen Mouse 451449 - Image 99257589: postnatal day 56; Mapkapk2tm1Dgen/Mapkapk2+ (more )
Structure Level Pattern Image Note
TS28: adenohypophysis pars intermedia Moderate 99257589 Expression is frequently seen in the pars intermedia.

Specimen Mouse 451449 - Image 99257590: postnatal day 56; Mapkapk2tm1Dgen/Mapkapk2+ (more )
Structure Level Pattern Image Note
TS28: neurohypophysis pars nervosa Very strong 99257590 Expression is frequently seen in the pars nervosa.

Specimen Mouse 451449 - Image 99257591: postnatal day 56; Mapkapk2tm1Dgen/Mapkapk2+ (more )
Structure Level Pattern Image Note
TS28: spinal cord Strong Regionally restricted 99257591 There is scattered expression in the nerves of the spinal cord.
TS28: nerve Strong Regionally restricted 99257591 There is scattered expression in the nerves of the spinal cord.

Specimen Mouse 451449 - Image 99257592: postnatal day 56; Mapkapk2tm1Dgen/Mapkapk2+ (more )
Structure Level Pattern Image Note
TS28: spinal cord central canal Very strong 99257592 Expression is present in practically all cells of the central canal.

Specimen Mouse 451449 - Image 99257593: postnatal day 56; Mapkapk2tm1Dgen/Mapkapk2+ (more )
Structure Level Pattern Image Note
TS28: spinal cord white matter Very strong 99257593 There is scattered expression in the white matter.

Specimen Mouse 451449 - Image 99257594: postnatal day 56; Mapkapk2tm1Dgen/Mapkapk2+ (more )
Structure Level Pattern Image Note
TS28: spinal cord dorsal horn Very strong 99257594 There is scattered expression in the dorsal horns.

Specimen Mouse 451449 - Image 99257595: postnatal day 56; Mapkapk2tm1Dgen/Mapkapk2+ (more )
Structure Level Pattern Image Note
TS28: spinal cord ventral horn Very strong 99257595 There is scattered expression in the ventral horns.

Specimen Mouse 451449 - Image 99257596: postnatal day 56; Mapkapk2tm1Dgen/Mapkapk2+ (more )
Structure Level Pattern Image Note
TS28: brainstem Strong 99257596 Expression is frequently seen in the brainstem.

Specimen Mouse 451449 - Image 99257597: postnatal day 56; Mapkapk2tm1Dgen/Mapkapk2+ (more )
Structure Level Pattern Image Note
TS28: cerebellum white matter Strong 99257597 Expression is frequently seen in the white matter.

Specimen Mouse 451449 - Image 99257598: postnatal day 56; Mapkapk2tm1Dgen/Mapkapk2+ (more )
Structure Level Pattern Image Note
TS28: cerebellum Purkinje cell layer Very strong 99257598 Expression is present in practically all cells of the Purkinje layer.

Specimen Mouse 451449 - Image 99257599: postnatal day 56; Mapkapk2tm1Dgen/Mapkapk2+ (more )
Structure Level Pattern Image Note
TS28: cerebellum granule cell layer Weak 99257599 There is scattered expression in the granule layer.

Specimen Mouse 451449 - Image 99257600: postnatal day 56; Mapkapk2tm1Dgen/Mapkapk2+ (more )
Structure Level Pattern Image Note
TS28: cerebellum molecular layer Moderate 99257600 There is scattered expression in the molecular layer.

Specimen Mouse 451449 - Image 99257601: postnatal day 56; Mapkapk2tm1Dgen/Mapkapk2+ (more )
Structure Level Pattern Image Note
TS28: telencephalon Strong Regionally restricted 99257601 There is scattered expression in the cerebral meninges.
TS28: meninges Strong Regionally restricted 99257601 There is scattered expression in the cerebral meninges.

Specimen Mouse 451449 - Image 99257602: postnatal day 56; Mapkapk2tm1Dgen/Mapkapk2+ (more )
Structure Level Pattern Image Note
TS28: cerebral cortex Very strong 99257602 Expression is frequently seen in the cortex.

Specimen Mouse 451449 - Image 99257603: postnatal day 56; Mapkapk2tm1Dgen/Mapkapk2+ (more )
Structure Level Pattern Image Note
TS28: telencephalon Strong Regionally restricted 99257603 There is scattered expression in the blood vessels of the cerebrum.
TS28: blood vessel Strong Regionally restricted 99257603 There is scattered expression in the blood vessels of the cerebrum.

Specimen Mouse 451449 - Image 99257604: postnatal day 56; Mapkapk2tm1Dgen/Mapkapk2+ (more )
Structure Level Pattern Image Note
TS28: hippocampus Strong 99257604 Expression is frequently seen in the hippocampus.

Specimen Mouse 451449 - Image 99257605: postnatal day 56; Mapkapk2tm1Dgen/Mapkapk2+ (more )
Structure Level Pattern Image Note
TS28: thalamus Very strong 99257605 Expression is frequently seen in the thalamus.

Specimen Mouse 451449 - Image 99257606: postnatal day 56; Mapkapk2tm1Dgen/Mapkapk2+ (more )
Structure Level Pattern Image Note
TS28: amygdala Strong 99257606 Expression is frequently seen in the amygdala.

Specimen Mouse 451449 - Image 99257607: postnatal day 56; Mapkapk2tm1Dgen/Mapkapk2+ (more )
Structure Level Pattern Image Note
TS28: hypothalamus Strong 99257607 Expression is frequently seen in the hypothalamus.

Specimen Mouse 451449 - Image 99257608: postnatal day 56; Mapkapk2tm1Dgen/Mapkapk2+ (more )
Structure Level Pattern Image Note
TS28: telencephalon Very strong Regionally restricted 99257608 Expression is present in practically all cells of the choroid plexus of the cerebrum.
TS28: choroid plexus Very strong Regionally restricted 99257608 Expression is present in practically all cells of the choroid plexus of the cerebrum.

Specimen Mouse 451449 - Image 99257609: postnatal day 56; Mapkapk2tm1Dgen/Mapkapk2+ (more )
Structure Level Pattern Image Note
TS28: brain ventricle Very strong Regionally restricted 99257609 Expression is present in practically all cells of a ventricle in the cerebrum.

Specimen Mouse 451449 - Image 99257610: postnatal day 56; Mapkapk2tm1Dgen/Mapkapk2+ (more )
Structure Level Pattern Image Note
TS28: caudate-putamen Very strong 99257610 Expression is frequently seen in the caudate-putamen.


Contributing Projects:
Mouse Genome Database (MGD), Gene Expression Database (GXD), Mouse Models of Human Cancer database (MMHCdb) (formerly Mouse Tumor Biology (MTB)), Gene Ontology (GO)
Citing These Resources
Funding Information
Warranty Disclaimer, Privacy Notice, Licensing, & Copyright
Send questions and comments to User Support.
last database update
01/20/2026
MGI 6.24
The Jackson Laboratory